Wichtiger Sicherheitshinweis: Pathorama wurde zwischen dem 26. und 27. Dezember 2025 angegriffen. Falls Sie die Website in diesem Zeitraum besucht haben, lesen Sie bitte die wichtigen Informationen hier:
Zur Information

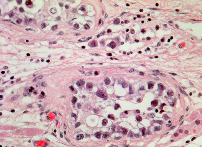
PathoPic – image database / PathoPic ID 3082 - Seminom und testikuläre intraepitheliale Neoplasie (TIN)

de
Diagnose
Seminom und testikuläre intraepitheliale Neoplasie (TIN)
Diagnose Gruppe
maligner Tumor
Topographie
Hoden
Topographie Gruppe
Genitalorgane, männlich
Beschreibung
Im Interstitium lassen sich lediglich vereinzelte Seminomzellen nachweisen. Die invasiven Zellen gleichen den intratubulären atyischen Keimzellen.
Zusatzbefund
Gemischter Keimzelltumor. An anderer Stelle Anteile eines unreifen Teratoms und eines Chorionkarzinoms.
Klinik
St.n. Kryptorchismusoperation. Tumorknoten in einem Hoden.
Kommentar
Intratubuläre atypische Keimzellen finden sich nahezu bei jedem malignen Keimzelltumor des Hodens. Wenn die atypischen Zellen im tumorfreien Hoden nachweisbar sind, wird dieser in der Regel bestrahlt. Die atypischen Keimzellen enthalten viel Glykogen und sind daher PAS positiv. Ausserdem sind sie positiv für die plazentäre alkalische Phosphatase PLAP. Meist wachsen die Seminome als grössere Knoten infiltrierend. Daneben kann man auch wie im vorliegenden Fall mikroskopisch kleine Gruppen von Seminomzellen im Interstitium finden, welche über den ganzen Hoden verteilt sein können.
Bilder Typ
Histologie
Vergrösserung
320
Alter
37
Geschlecht
männlich
Datum
Ersteintrag: 21.03.2002
Update: 30.07.2010