Wichtiger Sicherheitshinweis:
Pathorama wurde zwischen dem
26. und 27. Dezember 2025
angegriffen. Falls Sie die Website in diesem Zeitraum besucht haben, lesen Sie bitte die wichtigen Informationen hier:
Zur Information
Pathopic
HiPaKu
ZyPaKu
Projektinfos
PathoPic - Projekt- und Copyright-Info
About
Pathopic
HiPaKu
ZyPaKu
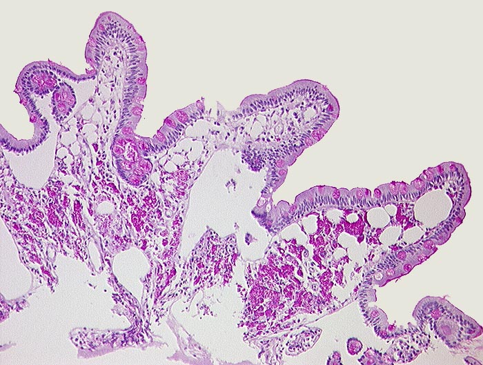
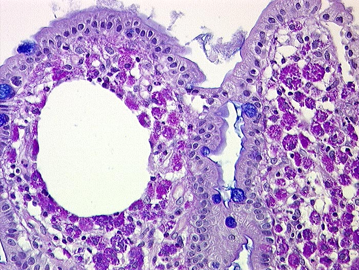
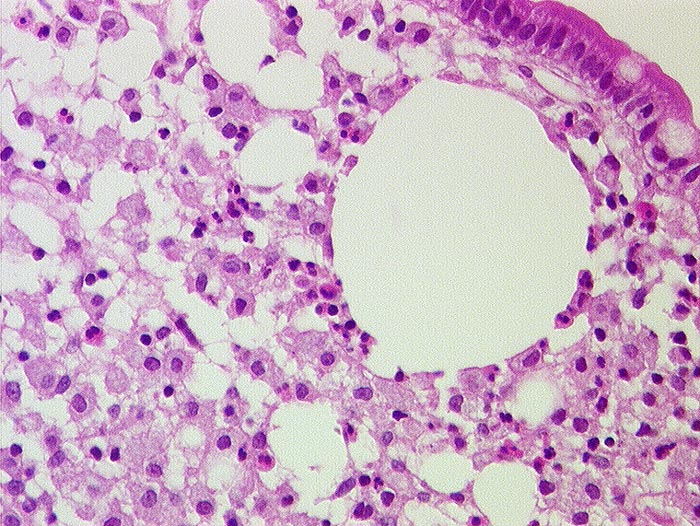
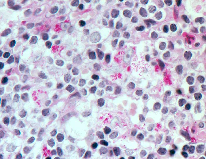
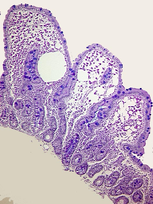
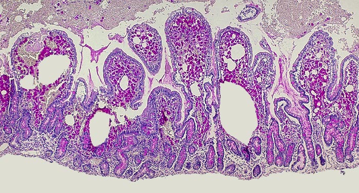
AP/ Morbus Whipple
Diagnose
Morbus Whipple
Diagnose Gruppe
Entzündung infektiös
Differenzialdiagnose
Topographie Gruppe
Darm, Anus
Topographie
Dünndarm
Einleitung
-
Klinik
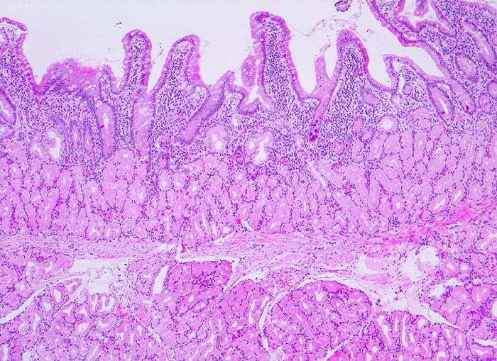
-
Normalbefund
Morphologie
-
Makroskopie
Virtuelles Präparat
Befund
Pathologischer Befund
Normalbefund
Literatur
Datum
Ersteintrag: 11.02.2004
Update: 11.02.2004
CPS
·
©
2025 Institut für Pathologie Basel
/
Dr. med. Katharina Glatz-Krieger
.
·
v2.2