Wichtiger Sicherheitshinweis:
Pathorama wurde zwischen dem
26. und 27. Dezember 2025
angegriffen. Falls Sie die Website in diesem Zeitraum besucht haben, lesen Sie bitte die wichtigen Informationen hier:
Zur Information
Pathopic
HiPaKu
ZyPaKu
Projektinfos
PathoPic - Projekt- und Copyright-Info
About
Pathopic
HiPaKu
ZyPaKu
PathoPic – image database
/
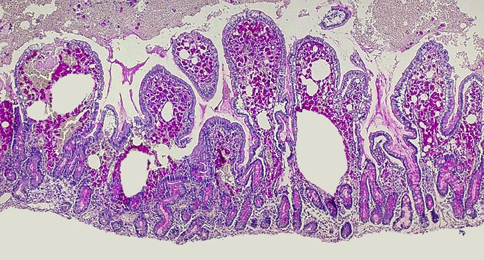
PathoPic ID 1838 - Morbus Whipple
de
Diagnose
Morbus Whipple
Diagnose Gruppe
Entzündung infektiös
Topographie
Duodenum
Topographie Gruppe
Darm, Anus
Beschreibung
Massive Infiltration der Mukosa durch PAS positive Makrophagen. Die Hohlräume entsprechen Lymphangiektasien.
Bilder Typ
Histologie
Geschlecht
weiblich
Datum
Ersteintrag: 08.01.2002
CPS
·
©
2025 Institut für Pathologie Basel
/
Dr. med. Katharina Glatz-Krieger
.
·
v2.2