Wichtiger Sicherheitshinweis:
Pathorama wurde zwischen dem
26. und 27. Dezember 2025
angegriffen. Falls Sie die Website in diesem Zeitraum besucht haben, lesen Sie bitte die wichtigen Informationen hier:
Zur Information
Pathopic
HiPaKu
ZyPaKu
Projektinfos
PathoPic - Projekt- und Copyright-Info
About
Pathopic
HiPaKu
ZyPaKu
PathoPic – image database
/
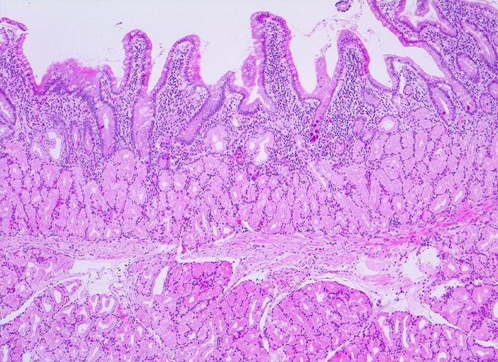
PathoPic ID 4196 - normales Duodenum: Brunner'sche Drüsen
de
Diagnose
normales Duodenum: Brunner'sche Drüsen
Diagnose Gruppe
Normalbefund
Topographie
Duodenum
Topographie Gruppe
Darm, Anus
Beschreibung
Bulbus duodeni mit relativ plumpen Zotten und hellen Brunner'schen Drüsen in Mukosa und Submukosa
Bilder Typ
Histologie
Vergrösserung
25
Alter
47
Geschlecht
unbekannt
Datum
Ersteintrag: 05.03.2002
CPS
·
©
2025 Institut für Pathologie Basel
/
Dr. med. Katharina Glatz-Krieger
.
·
v2.2