Wichtiger Sicherheitshinweis:
Pathorama wurde zwischen dem
26. und 27. Dezember 2025
angegriffen. Falls Sie die Website in diesem Zeitraum besucht haben, lesen Sie bitte die wichtigen Informationen hier:
Zur Information
Pathopic
HiPaKu
ZyPaKu
Projektinfos
PathoPic - Projekt- und Copyright-Info
About
Pathopic
HiPaKu
ZyPaKu
PathoPic – image database
/
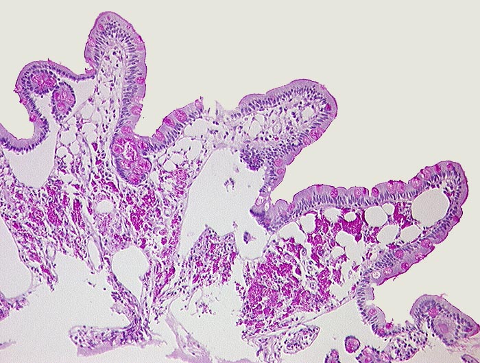
PathoPic ID 433 - Morbus Whipple
de
Diagnose
Morbus Whipple
Diagnose Gruppe
Entzündung infektiös
Topographie
Dünndarm
Topographie Gruppe
Darm, Anus
Beschreibung
Ektatische Lymphgefässe in den Dünndarmzotten und massenhaft PAS positive Makrophagen im Stroma.
Bilder Typ
Histologie
Geschlecht
weiblich
Datum
Ersteintrag: 09.11.2001
CPS
·
©
2025 Institut für Pathologie Basel
/
Dr. med. Katharina Glatz-Krieger
.
·
v2.2