Wichtiger Sicherheitshinweis: Pathorama wurde zwischen dem 26. und 27. Dezember 2025 angegriffen. Falls Sie die Website in diesem Zeitraum besucht haben, lesen Sie bitte die wichtigen Informationen hier:
Zur Information

AP/ Soorösophagitis

Diagnose
Soorösophagitis
Diagnose Gruppe
Entzündung infektiös
Differenzialdiagnose
Topographie Gruppe
Oesophagus, Magen
Topographie
Oesophagus
Einleitung
Aetiologie:
Candidaorganismen gehören zur normalen Darmflora inklusive der Flora des Oropharynx. Nach Breitspektrum Antibiotikatherapie oder Inhalationstherapie mit Corticosteroiden können diese Organismen beim Immunkompetenten einen selektiven Wachstumsvorteil gewinnen, insbesondere wenn Mukosadefekte vorhanden sind (z.B. bei Refluxösophagitis).

Morphologie:
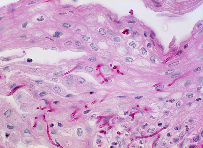
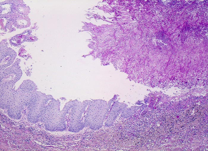
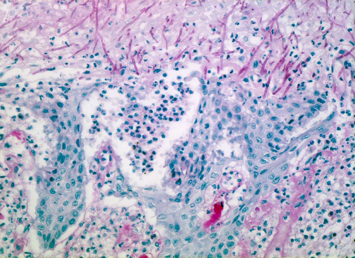
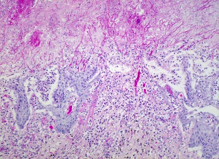
Endoskopisch finden sich abstreifbare weissgelbe krümelige Plaques, welche keine Prädilektionsstelle zeigen. Die Schleimhaut kann erodiert oder ulzeriert sein. In Klumpen von nekrotischen Plattenepithelzellen lassen sich mikroskopisch oft Sporen und Pseudohyphen nachweisen. Die Pseudohyphen wachsen oft senkrecht zur Epitheloberfläche. Besonders gut sichtbar werden die Pilze in der PAS oder Grocott Färbung. Zusätzlich besteht eine aktive Ösophagitis mit Infiltration der oberflächlichen Plattenepithelschicht durch neutrophile Granulozyten. Zahlreiche neutrophile Granulozyten in einem Ulkus weisen auf eine Soorösophagitis. Bei viral bedingten Ulzera (Herpes, CMV) prädominieren Makrophagen.

Anmerkung:
Der Nachweis von Pilzsporen allein rechtfertigt noch nicht zur Diagnose einer Soorösophagitis. Es könnte sich ebensogut um eine Kontamination aus dem Oropharynx handeln (normale Mundflora). Eine Soorösophagitis kann dann diagnostiziert werden, wenn Pseudohyphen begleitet von einer Entzündung nachweisbar sind. Dies bedeutet in der Regel, dass es sich um eine invasive Infektion mit Krankheitswert handelt.
Klinik
Vorkommen:
Eine Ösophagitis kann in allen Altersgruppen auftreten.

Risikofaktoren:
Das höchste Infektionsrisiko haben AIDS Patienten und Patienten mit Leukämie oder Lymphom. Weitere Risikofaktoren sind Achalasie, Tumorerkrankung, Ösophagusdivertikel, Diabetes mellitus und Alkoholismus.

Symptomatik:
Die Patienten klagen oft über akut einsetzende Schmerzen beim Schlucken und eventuell Schluckstörungen. Übelkeit und Erbrechen, Fieber, Bauchschmerzen, Hämatemesis und Appetitlosigkeit mit Gewichtsverlust können hinzukommen. Die Soorinfektion ist aber oft asymptomatisch.

Diagnostik:
Die Diagnose kann endoskopisch vermutet und histologisch anhand der endoskopisch entnommenen Biopsien bestätigt werden. Eine Gewebskultur ist selten indiziert (bei resistenten Erregern), da Candida Spezies zu den Kommensalen der normalen Mundflora gehören. Der mikrobiologische Nachweis von Candida spp. ist also nicht gleichzusetzen mit einer Soorinfektion.

Therapie:
Die medikamentöse Behandlung kann topisch, oral oder parenteral erfolgen. Die Wahl des Medikamentes erfolgt abhängig von der Schwere der Infektion und vom Immunstatus. Immunkompetente Patienten können meist topisch behandelt werden. Ziel der Therapie ist eine Minimierung der Symptome und das Verhindern von Komplikationen.
Morphologie
Morphologische Merkmale:
  • Teils ulzerierte, teils erodierte Ösophagusmukosa.
  • Die Pseudomembran über der ulzerierten Schleimhaut setzt sich zusammen aus einem dichten Netzwerk PAS positiver Soorpseudohyphen und ovale aussprossende Sporen, nekrotischem Plattenepithel, Fibrin und neutrophilen Granulozyten.
  • Die Pseudohyphen infiltrieren das Plattenepithel.
  • Im Unterschied zur Aspergillose dünnere Pseudohyphen ohne echte Verzweigungen und zahlreiche Sporen.
Das sollte der Kliniker dem Pathologen mitteilen:
  • Endoskopischer Befund.
  • Verdacht auf Soorinfektion (Pilze besser nachweisbar in der PAS oder Grocottfärbung als in der routinemässig angefertigten HE Färbung).
Makroskopie
Virtuelles Präparat
Befund
Pathologischer Befund
Normalbefund
Datum
Ersteintrag: 17.11.2018
Update: 17.11.2018