Wichtiger Sicherheitshinweis: Pathorama wurde zwischen dem 26. und 27. Dezember 2025 angegriffen. Falls Sie die Website in diesem Zeitraum besucht haben, lesen Sie bitte die wichtigen Informationen hier:
Zur Information

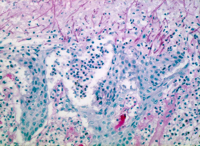
PathoPic – image database / PathoPic ID 5151 - Soorösophagitis

de
Diagnose
Soorösophagitis
Diagnose Gruppe
Entzündung infektiös
Topographie
Oesophagus
Topographie Gruppe
Oesophagus, Magen
Beschreibung
Erodierte Schleimhaut mit regeneratorischen Epithelatypien (vergrösserte, leicht polymorphe Kerne mit vergröbertem Chromatin, wenig Zytoplasma). Zwischen den Epithelinseln dichte Infiltrate neutrophiler Granulozyten. PAS positive Soorpseudohyphen infiltrieren das erodierte Epithel.
Klinik
Mann, 75 Jahre, mit bekanntem multiplen Myelom. Autopisepräparat. Progrediente Dysphagie.
Bilder Typ
Histologie
Vergrösserung
200
Alter
75
Geschlecht
männlich
Datum
Ersteintrag: 19.09.2002