Wichtiger Sicherheitshinweis: Pathorama wurde zwischen dem 26. und 27. Dezember 2025 angegriffen. Falls Sie die Website in diesem Zeitraum besucht haben, lesen Sie bitte die wichtigen Informationen hier:
Zur Information

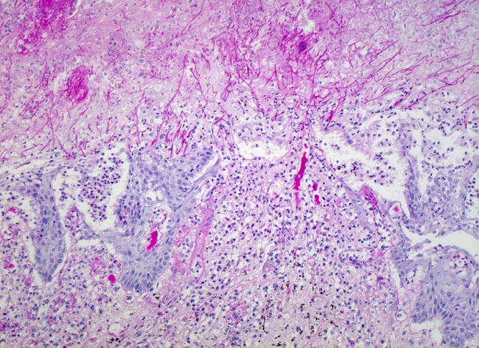
PathoPic – image database / PathoPic ID 5150 - Soorösophagitis

de
Diagnose
Soorösophagitis
Diagnose Gruppe
Entzündung infektiös
Topographie
Oesophagus
Topographie Gruppe
Oesophagus, Magen
Beschreibung
Das Plattenepithel ist teils ulzeriert, teils erodiert. Soorpseudohyphen infiltrieren das stehengebliebene Epithel. Dichte Infiltrate von neutrophilen Granulozyten im Epithel.
Klinik
Mann, 75 Jahre, mit bekanntem multiplen Myelom. Autopisepräparat. Progrediente Dysphagie.
Bilder Typ
Histologie
Vergrösserung
100
Alter
75
Geschlecht
männlich
Datum
Ersteintrag: 19.09.2002