Wichtiger Sicherheitshinweis: Pathorama wurde zwischen dem 26. und 27. Dezember 2025 angegriffen. Falls Sie die Website in diesem Zeitraum besucht haben, lesen Sie bitte die wichtigen Informationen hier:
Zur Information

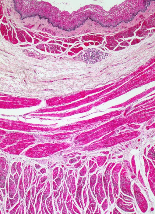
PathoPic – image database / PathoPic ID 4317 - normaler Ösophagus

de
Diagnose
normaler Ösophagus
Diagnose Gruppe
Normalbefund
Topographie
Oesophagus
Topographie Gruppe
Oesophagus, Magen
Beschreibung
Die Basalzellschicht der Mukosa ist als dunkles Band dichtstehender Zellen erkennbar. Auf das nicht verhorndende Plattenepithel (Mukosa) folgt das bindegewebige subepitheliale Stroma und die glattmuskuläre Lamina muscularis mucosae. In der lockeren bindegewebigen Submukosa befinden sich seröse Schleimdrüsen. Unten im Bild die im distalen Abschnitt des Ösophagus glattmuskuläre Muscularis propria mit einer inneren zirkulären und einer äusseren longitudinalen Schicht.
Bilder Typ
Histologie
Vergrösserung
25
Alter
55
Geschlecht
männlich
Datum
Ersteintrag: 05.04.2002