Wichtiger Sicherheitshinweis: Pathorama wurde zwischen dem 26. und 27. Dezember 2025 angegriffen. Falls Sie die Website in diesem Zeitraum besucht haben, lesen Sie bitte die wichtigen Informationen hier:
Zur Information

l/ Merkelzellkarzinom

Diagnose
Merkelzellkarzinom
Diagnose Gruppe
maligner Tumor
Differenzialdiagnose
Topographie Gruppe
Weichteile
Topographie
Weichteile Kopf
Einleitung
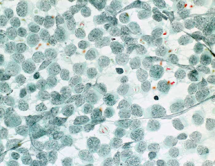
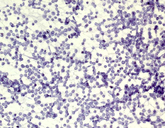
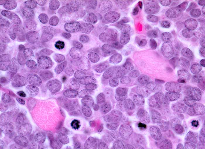
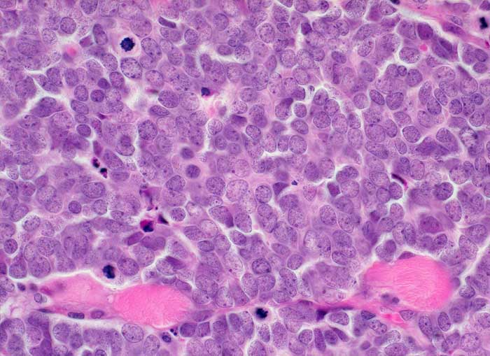
Das Merkelzellkarzinom ist ein neuroendokrines Karzinom ausgehend von den Merkelzellen der Haut. Die Ausstriche sind zellreich. Die monomorphen zytoplasmaarmen Zellen liegen einzeln oder in lockeren Verbänden. Die Kerne sind fragil, rund bis oval und hyperchromatisch. Das Chromatin zeigt ein Pfeffer und Salz Bild. Die Unterscheidung von der Metastase eines kleinzelligen Bronchuskarzinoms oder von einem Lymphom kann immunzytochemisch erfolgen. Merkelzellkarzinome zeigen eine charakteristische punktförmige zytoplasmatische Positivität für CK20 und sind negativ für TTF1, BerEP-4 und CD45.
Klinik
-
Normalbefund
Morphologie
Makroskopie
Virtuelles Präparat
Befund
Pathologischer Befund
Normalbefund
Literatur
Datum
Ersteintrag: 13.04.2003
Update: 13.04.2003