Wichtiger Sicherheitshinweis:
Pathorama wurde zwischen dem
26. und 27. Dezember 2025
angegriffen. Falls Sie die Website in diesem Zeitraum besucht haben, lesen Sie bitte die wichtigen Informationen hier:
Zur Information
Pathopic
HiPaKu
ZyPaKu
Projektinfos
PathoPic - Projekt- und Copyright-Info
About
Pathopic
HiPaKu
ZyPaKu
PathoPic – image database
/
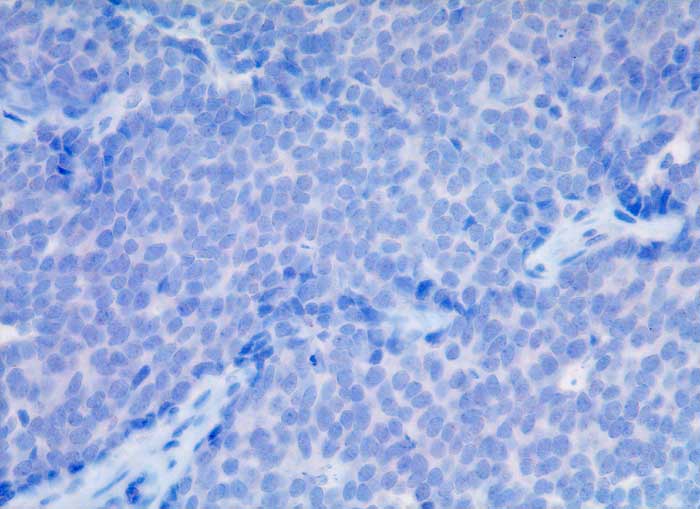
PathoPic ID 5491 - Merkel Zell Karzinom
de
Diagnose
Merkel Zell Karzinom
Diagnose Gruppe
maligner Tumor
Topographie
Haut, Lid
Topographie Gruppe
Haut
Beschreibung
Die Tumorzellen exprimieren kein TTF1
Zusatzbefund
Immunhistochemie: CK20 und Synaptophysin positiv. Melanommarker, CD20, CD45, TTF1 negativ.
Klinik
Tumor am Unterlid
Kommentar
Im Unterschied zum kleinzelligen Bronchuskarzinom exprimieren Merkelzellkarzinome kein TTF1
Bilder Typ
Histologie
Immunhistochemie
TTF-1
Vergrösserung
320
Alter
80
Geschlecht
männlich
Datum
Ersteintrag: 06.10.2002
Update: 11.02.2003
CPS
·
©
2025 Institut für Pathologie Basel
/
Dr. med. Katharina Glatz-Krieger
.
·
v2.2