Wichtiger Sicherheitshinweis:
Pathorama wurde zwischen dem
26. und 27. Dezember 2025
angegriffen. Falls Sie die Website in diesem Zeitraum besucht haben, lesen Sie bitte die wichtigen Informationen hier:
Zur Information
Pathopic
HiPaKu
ZyPaKu
Projektinfos
PathoPic - Projekt- und Copyright-Info
About
Pathopic
HiPaKu
ZyPaKu
PathoPic – image database
/
PathoPic ID 6405 - Merkelzellkarzinom
de
Diagnose
Merkelzellkarzinom
Diagnose Gruppe
maligner Tumor
Topographie
Weichteile Kopf
Topographie Gruppe
Weichteile
Beschreibung
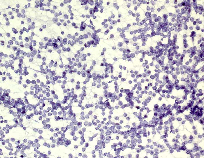
Feinnadelbiopsie aus subkutanem Knoten über der Parotis: Die monomorphen Tumorzellen sind negativ für den epithelialen Marker BerEP4.
Klinik
Metastasierendes Karzinom
Bilder Typ
Zytologie
Immunhistochemie
Ber-EP4
Vergrösserung
200
Alter
88
Geschlecht
männlich
Datum
Ersteintrag: 12.02.2003
Update: 28.03.2003
CPS
·
©
2025 Institut für Pathologie Basel
/
Dr. med. Katharina Glatz-Krieger
.
·
v2.2