Wichtiger Sicherheitshinweis:
Pathorama wurde zwischen dem
26. und 27. Dezember 2025
angegriffen. Falls Sie die Website in diesem Zeitraum besucht haben, lesen Sie bitte die wichtigen Informationen hier:
Zur Information
Pathopic
HiPaKu
ZyPaKu
Projektinfos
PathoPic - Projekt- und Copyright-Info
About
Pathopic
HiPaKu
ZyPaKu
PathoPic – image database
/
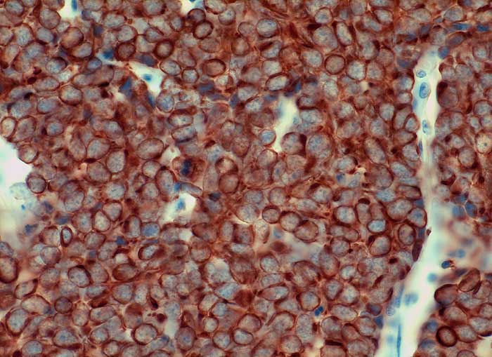
PathoPic ID 5492 - Merkel Zell Karzinom
de
Diagnose
Merkel Zell Karzinom
Diagnose Gruppe
maligner Tumor
Topographie
Haut, Lid
Topographie Gruppe
Haut
Beschreibung
Die Tumorzellen exprimieren membranös und dot like CK20
Zusatzbefund
Immunhistochemie: CK20 und Synaptophysin positiv. Melanommarker, CD20, CD45, TTF1 negativ.
Klinik
Tumor am Unterlid
Kommentar
Im Unterschied zum kleinzelligen Bronchuskarzinom exprimieren Merkelzellkarzinome CK20
Bilder Typ
Histologie
Immunhistochemie
CK20
Vergrösserung
320
Alter
80
Geschlecht
männlich
Datum
Ersteintrag: 06.10.2002
Update: 11.02.2003
CPS
·
©
2025 Institut für Pathologie Basel
/
Dr. med. Katharina Glatz-Krieger
.
·
v2.2