Wichtiger Sicherheitshinweis: Pathorama wurde zwischen dem 26. und 27. Dezember 2025 angegriffen. Falls Sie die Website in diesem Zeitraum besucht haben, lesen Sie bitte die wichtigen Informationen hier:
Zur Information

p/ Invasives duktales Mammakarzinom

Diagnose
Invasives duktales Mammakarzinom
Diagnose Gruppe
maligner Tumor
Differenzialdiagnose
Topographie Gruppe
Mamma
Topographie
Mamma
Einleitung
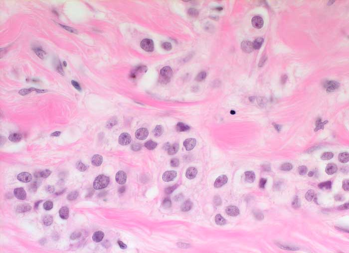
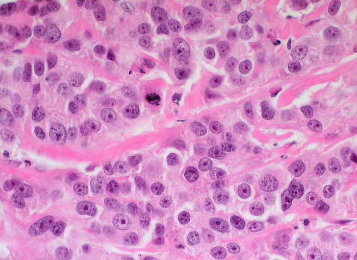
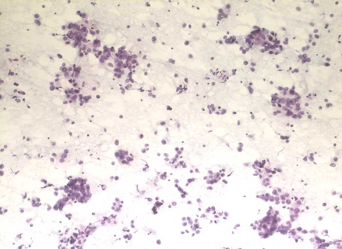
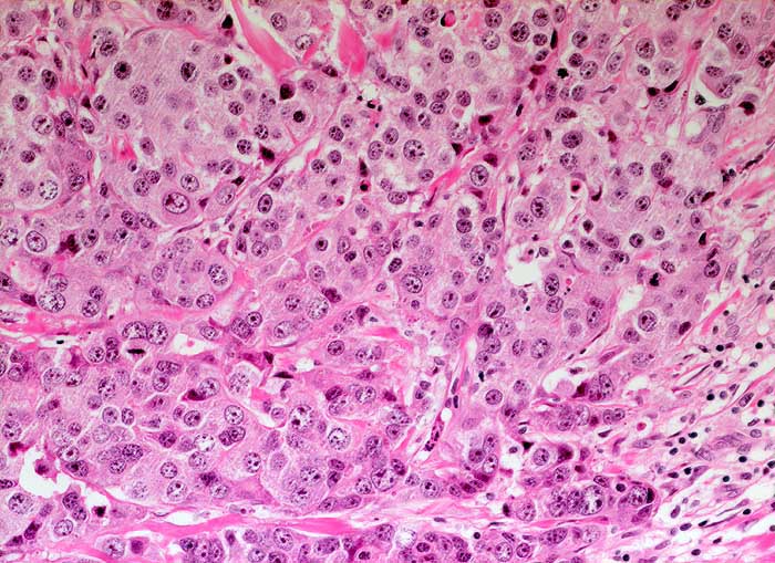
Das invasive Mammakarzinom zeigt zytologisch eine homogene Population maligner Zellen. Typischerweise sollten die Ausstriche zellreich sein und alle vorhandenen Zellen sollten maligne aussehen. Wenn man atypische Zellen suchen muss, ist der Ausstrich nicht diagnostisch für ein Karzinom, kann aber gleichwohl verdächtig sein. Die malignen Zellen sind in lockeren Gruppen gelagert und viele liegen einzeln. Crowding, Zellkannibalismus und Kernmolding sind gute Hinweise auf Malignität. Myoepithelien sind meistens aber nicht immer abwesend. Mammakarzinomzellen sind eher monomorph und deutlich grösser als normale duktale Epithelien. Zellkerne, die grösser sind als zwei Erythrozytendurchmesser, sind tumorverdächtig. Fast immer sind Kerbungen der Zellmembran nachweisbar. Das Chromatin ist im Gegensatz zu anderen Adenokarzinomen fein granulär und gleichmässig im Kern verteilt. Nukleolen sind meist unscheinbar. Makronukleolen sprechen für ein invasives Karzinom.
Die Kohäsivität ist das wichtigste Kriterium zur Feststellung des Differenzierungsgrades. Bei hoch differenzierten Karzinomen finden sich Verbände, bei wenig differenzierten liegen die Tumorzellen vermehrt einzeln. Wenig differenzierte Karzinome zeigen gesteigerte Kernatypien und der Hintergrund ist eher detritisch aufgrund ausgedehnter Tumornekrosen.
Unten werden Beispiele von einem hochdifferenzierten und einem wenig differenzierten Mammakarzinom gezeigt.
Klinik
-
Normalbefund
Morphologie
Makroskopie
Virtuelles Präparat
Befund
Pathologischer Befund
Normalbefund
Literatur
Datum
Ersteintrag: 13.04.2003
Update: 13.04.2003