Wichtiger Sicherheitshinweis: Pathorama wurde zwischen dem 26. und 27. Dezember 2025 angegriffen. Falls Sie die Website in diesem Zeitraum besucht haben, lesen Sie bitte die wichtigen Informationen hier:
Zur Information

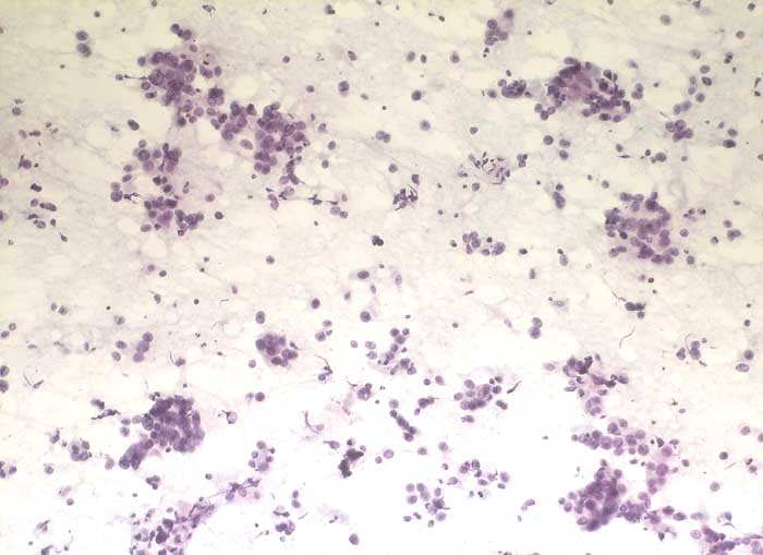
PathoPic – image database / PathoPic ID 5592 - Wenig differenziertes invasiv duktales Mammakarzinom

de
Diagnose
Wenig differenziertes invasiv duktales Mammakarzinom
Diagnose Gruppe
maligner Tumor
Topographie
Mamma
Topographie Gruppe
Mamma
Beschreibung
Feinnadelpunktion Mamma: Atypische pleomorphe Epithelien in einzelner Lagerung und in kleinen kompakten Verbänden. Die Kerne sind stark vergrössert und polymorph, das Chromatin vergröbert.
Klinik
Sonographisch wachsender Befund unklarer Dignität im oberen äusseren Quadranten rechts.
Kommentar
Zytologische Diagnose: Zahlreiche Karzinomzellen und Karzinomzellverbände. Kommentar: Befund spricht für wenig differenziertes Mammakarzinom vom invasiven duktalen Typ.
Bilder Typ
Zytologie
Vergrösserung
100
Alter
67
Geschlecht
unbekannt
Datum
Ersteintrag: 25.12.2002
Update: 12.02.2003