Wichtiger Sicherheitshinweis:
Pathorama wurde zwischen dem
26. und 27. Dezember 2025
angegriffen. Falls Sie die Website in diesem Zeitraum besucht haben, lesen Sie bitte die wichtigen Informationen hier:
Zur Information
Pathopic
HiPaKu
ZyPaKu
Projektinfos
PathoPic - Projekt- und Copyright-Info
About
Pathopic
HiPaKu
ZyPaKu
PathoPic – image database
/
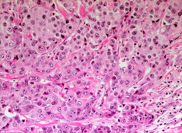
PathoPic ID 5594 - Wenig differenziertes invasiv duktales Mammakarzinom
de
Diagnose
Wenig differenziertes invasiv duktales Mammakarzinom
Diagnose Gruppe
maligner Tumor
Topographie
Mamma
Topographie Gruppe
Mamma
Beschreibung
Trabekulär angeordnete stark atypische Tumorzellen mit deutlicher Pleomorphie und hyperchromatischen Kernen. Reichlich eosinophiles Zytoplasma.
Klinik
Sonographisch wachsender Befund unklarer Dignität im oberen äusseren Quadranten rechts.
Bilder Typ
Histologie
Vergrösserung
200
Alter
67
Geschlecht
unbekannt
Datum
Ersteintrag: 25.12.2002
Update: 12.02.2003
CPS
·
©
2025 Institut für Pathologie Basel
/
Dr. med. Katharina Glatz-Krieger
.
·
v2.2