Wichtiger Sicherheitshinweis: Pathorama wurde zwischen dem 26. und 27. Dezember 2025 angegriffen. Falls Sie die Website in diesem Zeitraum besucht haben, lesen Sie bitte die wichtigen Informationen hier:
Zur Information

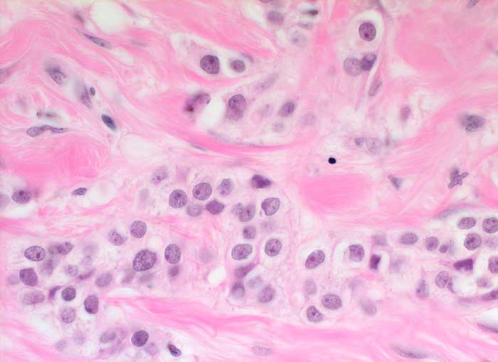
PathoPic – image database / PathoPic ID 5596 - hoch differenziertes invasiv duktales Mammakarzinom G1

de
Diagnose
hoch differenziertes invasiv duktales Mammakarzinom G1
Diagnose Gruppe
maligner Tumor
Topographie
Mamma
Topographie Gruppe
Mamma
Beschreibung
Solide Tumorzellstränge eingebettet in reichlich Bindegewebe. Die Tumorzellen zeigen lediglich geringe Atypien und sind nur wenig grösser als normale Brustdrüsenepithelien.
Klinik
4 cm Dm derber Tumor Mamma rechts oben aussen.
Bilder Typ
Histologie
Vergrösserung
400
Alter
61
Geschlecht
unbekannt
Datum
Ersteintrag: 25.12.2002
Update: 12.02.2003