Wichtiger Sicherheitshinweis: Pathorama wurde zwischen dem 26. und 27. Dezember 2025 angegriffen. Falls Sie die Website in diesem Zeitraum besucht haben, lesen Sie bitte die wichtigen Informationen hier:
Zur Information

Basel 1MA/ Atherosklerose

Diagnose
Atherosklerose
Diagnose Gruppe
vaskulär / Durchblutungsstörung
Differenzialdiagnose
Topographie Gruppe
Kardiovaskuläres System
Topographie
Arteria poplitea
Einleitung
Pathogenese:
Die Atherosklerose ist eine Erkrankung grosser und mittelgrosser Arterien charakterisiert durch eine Dysfunktion des Endothels, Entzündung, Ansammlungen von Lipiden, Kalzium und Zellschutt in der Intima der Gefässwand. Am breitesten anerkannt ist die mehrfach modifizierte “response to injury” Hypothese von Ross zur Pathogenese der Atherosklerose, die besagt, dass einer Schädigung des Endothels eine Entzündung und Proliferation von Mediamyozyten folgt. Mögliche Gründe für eine lokale Verletzung und Störung der anatomischen und funktionellen Eigenschaften der normalen Gefässwand sind Scherkräfte an Gefässteilungsstellen, Narben nach Gefässnaht, Status nach Vaskulitis, Infekte, Toxine (Nikotinabusus), Hyperglykämie und Hyperhomozysteinämie. Voraussetzung für die Entwicklung atherosklerotischer Läsionen ist ausserdem eine Hypercholesterinämie mit erhöhtem Angebot an oxidierten low-density Lipoproteinen. Der Endothelschaden begünstigt die Adhäsion von Thrombozyten und Monozyten. Monozyten können unter das Endothel einwandern. Die Produktion von Wachstumsfaktoren, Zytokinen und chemotaktischen Faktoren durch Thrombozyten, Monozyten und Endothelzellen führt zur Einwanderung von Mediamyozyten in die Intima, wo diese proliferieren und Matrixbestandteile synthetisieren.

Morphologie:
Die Atherosklerose befällt Arterien vom elastischen Typ und die grossen und mittelgrossen Arterien vom muskulären Typ. Die früheste Läsion, der Lipidstreifen, besteht aus einer fokalen Akkumulation von Lymphozyten und glatten Muskelzellen und von Serumlipoprotein in Makrophagen der Intima (> 5267). Zirkulierende Monozyten infiltrieren die Intima, nehmen alteriertes LDL Cholesterin auf und wandeln sich dadurch in Schaumzellen um. Diese Läsion kann sich durch zunehmende Lipidakkumulation und Migration sowie Proliferation von Myofibroblasten zum Präatherom mit wenig extrazellulären Lipidablagerungen und schliesslich zum Atherom (> 9003) mit zentral konfluierten extrazellulären Lipidmassen (> 9004) und nekrotischem Detritus weiterentwickeln. Die eingewanderten Mediamyozyten produzieren extrazelluläre Matrix, welche über dem Atheromkern aus extrazellulärem Lipid, Schaumzellen, Kalziumsalzen und Zellschutt eine fibröse Deckplatte bildet. Die atheromatöse Plaque kann narbig umgebaut werden, dystroph verkalken und konsolidieren oder zu einer komplizierten Plaque fortschreiten. Komplizierte Läsionen sind charakterisiert durch Ulzeration, Thrombose oder Plaqueeinblutungen. Bei einer Verletzung des Endothels oder einer Ruptur der fibrösen Deckplatte kommt der thrombogene Inhalt des Lipidkerns in Kontakt mit dem zirkulierenden Blut und es bildet sich eine Gefässthrombose. Wiederholte Rupturen mit nachfolgender Organisation der Thrombose vergrössern die Plaque und führen zu einer zunehmenden Gefässeinengung. Bei langsam gewachsenen schweren Stenosen bildet sich oftmals ein guter Kollateralkreislauf aus, welcher bei plötzlichem Gefässverschluss einen Infarkt im Versorgungsgebiet der verschlossenen Arterie verhindern kann. Grosse inter- und intraindividuelle Unterschiede bezüglich der relativen Anteile von weichen atheromatösen und derben fibrotischen bzw. verkalkten (> 4557) Bestandteilen der Plaques bestimmen wesentlich die Stabilität bzw. Vulnerabilität der Läsionen. Der Lipidanteil liegt bei rupturierten Plaques generell höher als bei Plaques mit intakter fibröser Deckplatte.
Klinik
Vorkommen:
Die meisten Todesfälle in den industrialisierten Ländern sind auf Folgeerscheinungen der Atherosklerose zurückzuführen. Die meisten Fälle atherosklerotisch bedingter Gefässerkrankungen werden klinisch apparent bei Patienten zwischen 40 und 70 Jahren. Lipidstreifen können jedoch bereits bei 8 bis 18 Jährigen nachgewiesen werden. Fortgeschrittenere Läsionen entwickeln sich etwa ab einem Alter von 25 Jahren.

Risikofaktoren:
Etablierte Risikofaktoren für die Entwicklung atherosklerotischer Läsionen und deren Komplikationen sind Hyperlipidämie mit hohen LDL und tiefen HDL Werten, Alter, männliches Geschlecht, familiäre Belastung, Rauchen, Hypertonie, Diabetes mellitus, Bewegungsmangel, Adipositas und Stress. In den letzten Jahren wurden grosse Anstrengungen unternommen zusätzlich zu den bekannten weitere proatherogene Faktoren zu identifizieren. Dazu gehören erhöhte CRP-, Fibrinogen- und Homozysteinspiegel, Chlamydia pneumoniae Infektion und andere. Die Wertung der Bedeutung dieser Faktoren in der Entstehung der Atherosklerose ist aber noch nicht abgeschlossen.

Symptomatik:
Eine Verringerung des Lumendurchmessers um mehr als 50-70% führt zu einer Beeinträchtigung des Blutflusses. Diese äussert sich in Symptomen zu Zeiten vermehrten Sauerstoffbedarfs in Form einer stabilen Angina pectoris, einer Claudicatio intermittens oder einer Angina abdominalis. Eine Plaqueruptur mit okkludierender Gefässthrombose kann zu instabiler Angina pectoris, Myokardinfarkt, transienter ischämischer Attacke, Mesenterialinfarkt oder Enzephalomalazie führen. Thrombotisches Material, Kalk oder Anteile des Lipidkerns können spontan oder im Rahmen eines diagnostischen oder therapeutischen Gefässeingriffes mit dem Blutstrom mitgerissen werden und distal gelegene Gefässe obliterieren (Cholesterinembolien) (> 270) (> 271) (> 266) (> 261) (> 260). Atheroembolien können sich präsentieren als Fingernekrosen, gastrointestinale Blutung, Myokardinfarkt, Ischämien der Retina, Enzephalomalazie oder Nierenversagen.

Therapie:
Neben der medikamentösen oder interventionellen Therapie von Komplikationen wie Aneurysmabildung (> 2047) (> 785) (> 344) (> 300), peripher arterieller Verschlusskrankheit oder koronarer Herzkrankheit sollte das Hauptaugenmerk auf der primären Prävention liegen. Diese umfasst im Wesentlichen die Kontrolle der etablierten modifizierbaren Risikofaktoren Hyperlipidämie, Hypertonie, Rauchen und Diabetes mellitus.
Morphologie
Morphologische Merkmale:
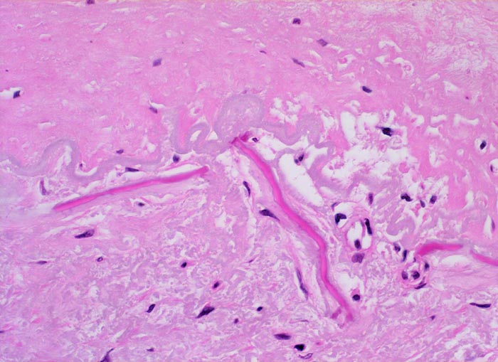
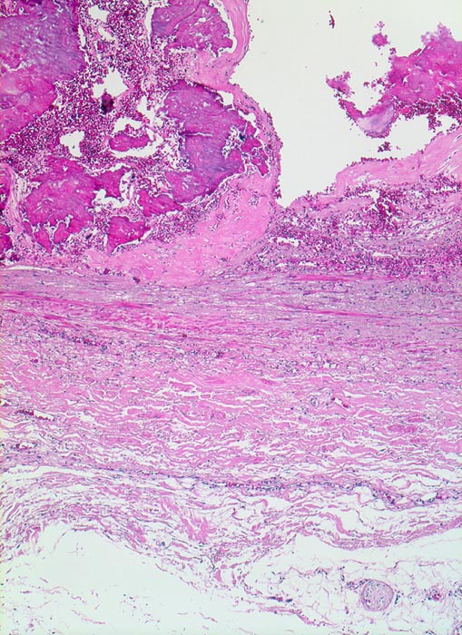
  • Intimafibrose mit fokalen grobscholligen(dystrophen) Verkalkungen und Einblutungen in der unteren Hälfte des Arterienquerschnitts.
  • Fibröse bindegewebige Deckplatte über dem Atheromkern
  • Atherome in der Intima mit zentraler Nekrose, Cholesterinkristallen, Entzündungszellen und gelben Hämosiderinablagerungen oder Einblutungen.
  • Partielle Zerstörung der Lamina elastica interna.
  • Atrophie der glatten Muskulatur der Media.
Makroskopie
Befund
Pathologischer Befund
Normalbefund
Datum
Ersteintrag: 15.03.2019
Update: 15.03.2019