Wichtiger Sicherheitshinweis: Pathorama wurde zwischen dem 26. und 27. Dezember 2025 angegriffen. Falls Sie die Website in diesem Zeitraum besucht haben, lesen Sie bitte die wichtigen Informationen hier:
Zur Information

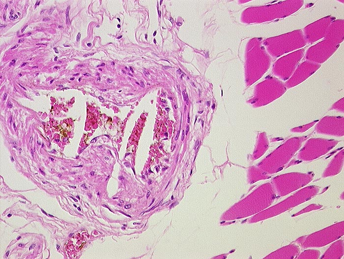
PathoPic – image database / PathoPic ID 261 - Frische Cholesterinembolie

de
Diagnose
Frische Cholesterinembolie
Diagnose Gruppe
vaskulär / Durchblutungsstörung
Topographie
Muskel, quergestreift
Topographie Gruppe
Weichteile
Beschreibung
Durch die Fixation herausgelöste Cholesterinkristalle sind als wetzsteinförmige Hohlräume im Gefässlumen sichtbar.
Zusatzbefund
Cholesterinemboliesyndrom bei schwerer allgemeiner Atherosklerose. Nachweis unterschiedlich alter Cholesterinembolien in Nieren, Milz, Magen, Darm, Pankreas, Haut und Muskulatur. Infarkte von Nieren und Milz. Hautnekrosen.
Klinik
Koronare Herzkrankheit.
Bilder Typ
Histologie
Alter
85
Geschlecht
männlich
Datum
Ersteintrag: 06.11.2001