Wichtiger Sicherheitshinweis:
Pathorama wurde zwischen dem
26. und 27. Dezember 2025
angegriffen. Falls Sie die Website in diesem Zeitraum besucht haben, lesen Sie bitte die wichtigen Informationen hier:
Zur Information
Pathopic
HiPaKu
ZyPaKu
Projektinfos
PathoPic - Projekt- und Copyright-Info
About
Pathopic
HiPaKu
ZyPaKu
PathoPic – image database
/
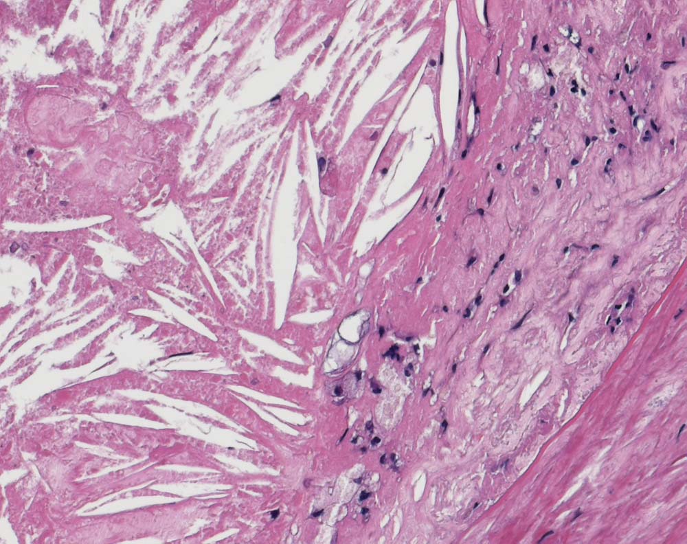
PathoPic ID 9004 - Atherosklerose der Arteria carotis
de
Diagnose
Atherosklerose der Arteria carotis
Diagnose Gruppe
vaskulär / Durchblutungsstörung
Topographie
Arteria carotis
Topographie Gruppe
Kardiovaskuläres System
Beschreibung
Bildausschnitt aus einem Atherom bestehend aus teils zerfallenen Schaumzellen und wetzsteinförmigen herausgelösten Cholesterinkristallen.
Klinik
Carotisstenose
Kommentar
Die Cholesterinkristalle entstehen nach dem Zerfall von lipidbeladenen Makrophagen.
Bilder Typ
Histologie
Vergrösserung
200
Alter
74
Geschlecht
unbekannt
Datum
Ersteintrag: 14.03.2006
Update: 28.06.2006
CPS
·
©
2025 Institut für Pathologie Basel
/
Dr. med. Katharina Glatz-Krieger
.
·
v2.2