Wichtiger Sicherheitshinweis: Pathorama wurde zwischen dem 26. und 27. Dezember 2025 angegriffen. Falls Sie die Website in diesem Zeitraum besucht haben, lesen Sie bitte die wichtigen Informationen hier:
Zur Information

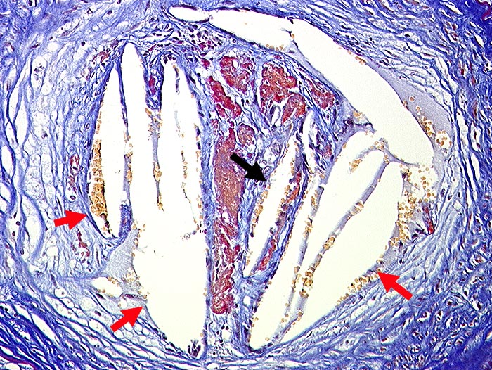
PathoPic – image database / PathoPic ID 260 - Cholesterinembolien verschiedenen Alters

de
Diagnose
Cholesterinembolien verschiedenen Alters
Diagnose Gruppe
vaskulär / Durchblutungsstörung
Topographie
Niere
Topographie Gruppe
Niere, Harnwege
Beschreibung
Durch die Fixation herausgelöste Cholesterinkristalle sind als wetzsteinförmige Hohlräume im Gefässlumen sichtbar. Eine ältere Embolie ist umgeben von Bindegewebe.
Zusatzbefund
Cholesterinemboliesyndrom bei schwerer allgemeiner Atherosklerose. Nachweis unterschiedlich alter Cholesterinembolien in Nieren, Milz, Magen, Darm, Pankreas, Haut und Muskulatur. Infarkte von Nieren und Milz. Hautnekrosen.
Klinik
Koronare Herzkrankheit.
Bilder Typ
Histologie
Alter
85
Geschlecht
männlich
Datum
Ersteintrag: 06.11.2001