Wichtiger Sicherheitshinweis: Pathorama wurde zwischen dem 26. und 27. Dezember 2025 angegriffen. Falls Sie die Website in diesem Zeitraum besucht haben, lesen Sie bitte die wichtigen Informationen hier:
Zur Information

Basel 1MA/ Medulläres Schilddrüsenkarzinom

Diagnose
Medulläres Schilddrüsenkarzinom
Diagnose Gruppe
maligner Tumor
Topographie Gruppe
Endokrinium
Topographie
Schilddrüse
Einleitung
Histogenese:
Das medulläre Schilddrüsenkarzinom (MTC) leitet sich ab von den neuroektodermalen parafollikulären C-Zellen der Schilddrüse, welche Calcitonin produzieren. Die Zellen des MTC sind positiv für neuroendokrine Marker (Synaptophysin, Chromogranin A) und Calcitonin.
 
Genetik:
Circa 40 bis 50% der MTC sind genetisch determiniert. Das heisst, sie treten autosomal-dominant vererbt als familiäres medulläres Schilddrüsenkarzinom oder im Rahmen eines MEN-2A- oder -2B-Syndroms auf. Patienten mit hereditärem Karzinom weisen je nach Syndrom unterschiedlich lokalisierte Keimbahnmutationen am RET-Protoonkogen (rearranged during transfection) auf, welches eine Membran-assoziierte Tyrosinkinase kodiert. 
Bei bestimmten RET-Mutationen besteht eine stark ausgeprägte Genotyp-Phänotyp Assoziation, welche das Alter des Erkrankungszeitpunkts und die Tumoraggressivität beeinflussen.
 
Morphologie:
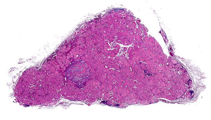
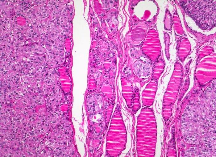
Makroskopisch imponieren sporadische Tumoren als solitäre, scharf begrenzte, manchmal gekapselte grauweisse Knoten mit rauher Oberfläche. Bei familiären Karzinomen finden sich häufig bilaterale multiple grauweisse unscharf begrenzte Herde und eine C-Zell Hyperplasie der Schilddrüse. 

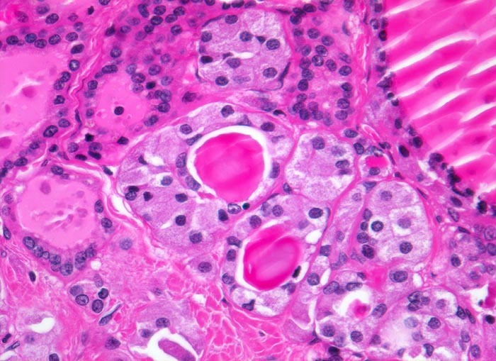
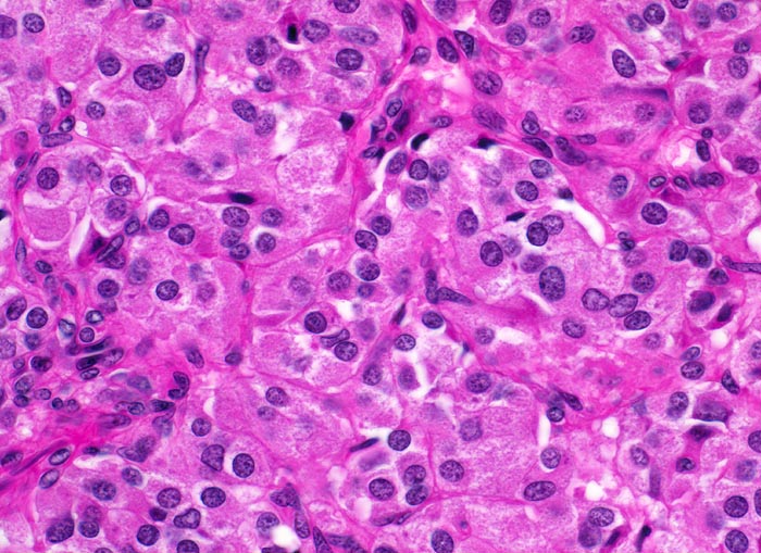
Das MTC metastasiert primär in die lokoregionären Lymphknoten. Bei 15% der Patient*innen liegen zum Zeitpunkt der Diagnose bereits Fernmetastasen in Lungen, Leber oder Knochen vor. Histologisch sind die Tumoren meist solide und bestehen aus monomorphen polygonalen und spindeligen Zellen (> 3821). Die Zellkerne zeigen das typische Pfeffer und Salz Chromatin neuroendokriner Zellen. Das Stroma enthält in ca. 50% der Fälle Amyloid. 
 
Diagnostik:
Das breite morphologische Erscheinungsbild mit glandulären, papillären (> 3773) und oxyphilen Varianten macht den Einsatz immunhistochemischer Methoden obligat bei Schilddrüsentumoren mit ungewöhnlicher Morphologie (medulläre Karzinome sind im Gegensatz zu follikulären und papillären Karzinomen positiv für Calcitonin, Chromogranin A, Synaptophysin und CEA, negativ für Thyreoglobulin). Das histologische Erscheinungsbild und der Nachweis von Amyloid haben keinen Einfluss auf die Prognose. 

update 30. August 2023 

Klinik
Vorkommen:
Die medullären Karzinome machen weniger als 5% aller Schilddrüsenkarzinome aus. 20-30% aller medullären Schilddrüsenkarzinome sind hereditären Ursprungs. Die nicht hereditären sporadischen Karzinome finden sich überwiegend bei über 45-jährigen Patienten, während das familiäre Karzinom bereits bei wenigen Jahre alten Kindern, hauptsächlich aber zwischen dem 20. und 30. Lebensjahr auftritt. 
 
Symptomatik:
Die Patienten bemerken einen Knoten am Hals, welcher Schluckstörungen und in fortgeschrittenen Fällen Heiserkeit, Dysphagie und Atembeschwerden verursachen kann. Hohe Plasma Calcitoninwerte können Diarrhoen verursachen.
 
Diagnostik:
Die Diagnose des medullären Karzinoms kann anhand einer Feinnadelaspirationszytologie gestellt werden. 

Das Staging erfolgt mittels Ultraschall und PET-CT.
Das Calcitonin ist ein sensitiver und spezifischer Marker für die Primär-Diagnostik und postoperative Nachsorge (Tumormarker) des MTC. Bei Patienten mit MTC ist der Serum-Calcitonin stark erhöht.  
 Es gilt zu beachten, dass der Calcitoninspiegel durch verschiedene Faktoren wie Alter und Geschlecht, Ernährung, Rauchen, Hypergastrinämie, chronische Nierenerkrankungen, schwere Infektionen oder neuroendokrine Tumoren der Lunge und des Gastrointestinaltraktes beeinflusst wird. Die Grenzwerte für Calcitonin sind methoden- und laborabhängig. Die Bestimmung sollte daher immer im gleichen Labor erfolgen.

Es wird empfohlen, bei jedem diagnostizierten MTC unabhängig vom Alter des Patienten eine humangenetische Abklärung durchzuführen. Die De-novo-Mutationsrate für die MEN2A oder MEN2B liegen bei etwa 15 % bzw. 75 %. Bei allen Patienten sollte eine gründliche Familien- und Eigenanamnese und ein Gentest zum Nachweis bzw. Ausschluss einer Mutation im RET-Protoonkogen bzw. eines MEN Syndroms erfolgen.
Verwandte von Patienten mit Mutationen sollten genetisch getestet und der Calcitonin-Spiegel gemessen werden.
 
Therapie:
Chirurgisch ist bei allen medullären Karzinomen eine primär totale Thyreoidektomie mit zentraler und lateraler Lymphadenektomie anzustreben. Anhand der nachgewiesen Mutationen bei hereditären Tumoren werden die betroffenen Kinder bereits vor dem zu erwartenden Entstehen eines Karzinoms vollständig thyreoidektomiert (z. B. bei Mutationen am Codon 918 vor dem 6. Lebensmonat). Medulläre und anaplastische Schilddrüsenkarzinome weisen keine Jodspeicherung auf und eignen sich daher nicht zur Radiojodtherapie. 
Bei einem Tumorrückfall können je nach Befund eine erneute Operation, eine Strahlentherapie oder eine Chemotherapie zum Einsatz kommen. Bei fortgeschrittenem medullärem Karzinom mit nachgewiesener RET-Mutation ist eine gezielte Therapie mit einem selektiven RET-Tyrosinkinase-Inhibitor möglich oder eine Peptid Rezeptor Radionuklidtherapie (PRRT).
 


Verlauf und Prognose:
Die Bestimmung des Calcitoninspiegels dient zur Erfassung eines Rezidives oder von Metastasen. 
Regionäre Lymphknotenmetastasen (> 3744) sind möglich, hämatogene Metastasen selten. Patienten mit einem MEN Syndrom zeigen einen eher aggressiveren Verlauf. 

update 30. August 2023 

Morphologie
Morphologische Befunde: 
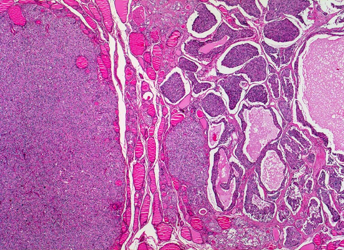
  • Mehrere, unscharf begrenzte, unbekapselte Tumorknoten mit desmoplastischem Stroma in ansonsten unauffälligem Schilddrüsenparenchym. 
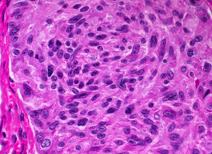
  • Die Tumorinfiltrate bestehen aus soliden und kribriformen Verbänden spindeliger Tumorzellen. 
  • Mehrere Herde hyperplastischer C-Zellen im nicht-neoplastischen Schilddrüsenparenchym als möglicher Hinweis auf ein hereditäres medulläres Schilddrüsenkarzinom. 
  • Tumorzellen mit überwiegend monomorphen Zellkernen mit feinkörnigem Pfeffer und Salz Chromatin (Merkmal endokriner Zellen). Nukleolen sind nicht prominent. Reichlich eosinophiles Zytoplasma. 
  • Kleiner Lymphknoten mit Metastase des medullären Schilddrüsenkarzinoms. Das sollte der Kliniker dem Pathologen mitteilen: 
  • MEN Syndrom. 
  • Mutation des RET-Protoonkogens. 
  • Serumkalzitonin und Kalzium. 

update 21. August 2014 
Makroskopie
Befund
Pathologischer Befund
Normalbefund
Datum
Ersteintrag: 10.07.2019
Update: 15.09.2023