Wichtiger Sicherheitshinweis: Pathorama wurde zwischen dem 26. und 27. Dezember 2025 angegriffen. Falls Sie die Website in diesem Zeitraum besucht haben, lesen Sie bitte die wichtigen Informationen hier:
Zur Information

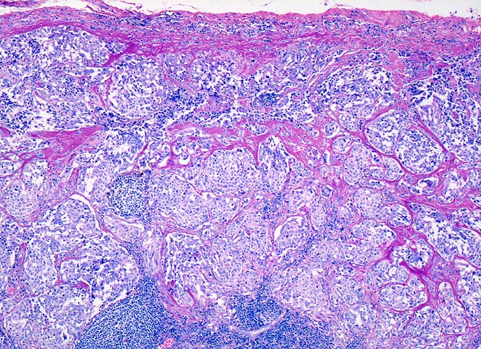
PathoPic – image database / PathoPic ID 3744 - medulläres Schilddrüsenkarzinom: Lymphknotenmetastase

de
Diagnose
medulläres Schilddrüsenkarzinom: Lymphknotenmetastase
Diagnose Gruppe
maligner Tumor
Topographie
Lymphknoten, Kopf-cervikal
Topographie Gruppe
Lymphatische Gewebe, KM, Milz
Beschreibung
Spärlicher Reste von lymphatischem Gewebe unten im Bild. Tumorinfiltrat aus soliden monomorphen Zellballen umgeben von breiten Sklerosesepten.
Zusatzbefund
Calcitonin in den Tumorzellen positiv.
Klinik
Seit 2 Monaten Lymphknotenschwellung am Hals.
Kommentar
Verschiedene Tumormetastasen können ein malignes Lymphom vortäuschen: Nasopharynxkarzinom, malignes Melanom, Seminom, Merkelzellkarzinom. Andererseits können maligne Lymphome Karzinom- oder Melanommetastasen imitieren: grosszellig anaplastische Lymphome.
Bilder Typ
Histologie
Vergrösserung
50
Alter
49
Geschlecht
männlich
Datum
Ersteintrag: 31.12.2001