Wichtiger Sicherheitshinweis: Pathorama wurde zwischen dem 26. und 27. Dezember 2025 angegriffen. Falls Sie die Website in diesem Zeitraum besucht haben, lesen Sie bitte die wichtigen Informationen hier:
Zur Information

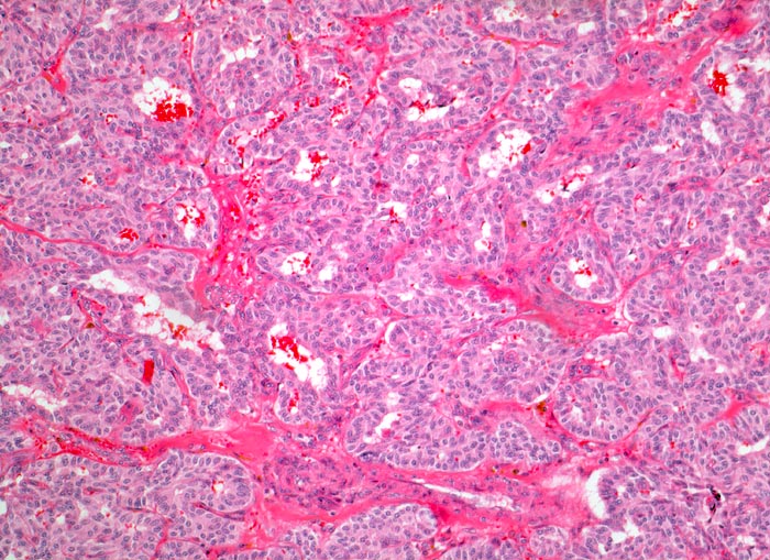
PathoPic – image database / PathoPic ID 3821 - medulläres Schilddrüsenkarzinom

de
Diagnose
medulläres Schilddrüsenkarzinom
Diagnose Gruppe
maligner Tumor
Topographie
Schilddrüse
Topographie Gruppe
Endokrinium
Beschreibung
Aus polygonalen und spindeligen Tumorzellen aufgebauter teils trabekulärer, teils alveolärer Tumor. Dazwischen schmale Bindegewebssepten.
Zusatzbefund
Graubrauner teils unscharf begrenzter Knoten in der Schilddrüse. Tumorzellen CEA und Calcitonin positiv.
Klinik
Kalter Knoten
Kommentar
jeder morphologisch ungewöhnlich aussehende Schilddrüsentumor sollte immunhistochemisch untersucht werden mit Antikörpern gegen Calcitonin, CEA und Thyreoglobulin.
Bilder Typ
Histologie
Vergrösserung
100
Alter
46
Geschlecht
männlich
Datum
Ersteintrag: 31.12.2001