Wichtiger Sicherheitshinweis: Pathorama wurde zwischen dem 26. und 27. Dezember 2025 angegriffen. Falls Sie die Website in diesem Zeitraum besucht haben, lesen Sie bitte die wichtigen Informationen hier:
Zur Information

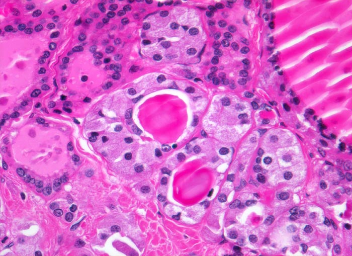
PathoPic – image database / PathoPic ID 4849 - neoplastische C-Zell-Hyperplasie bei MEN 2A

de
Diagnose
neoplastische C-Zell-Hyperplasie bei MEN 2A
Diagnose Gruppe
maligner Tumor
Topographie
Schilddrüse
Topographie Gruppe
Endokrinium
Beschreibung
Grosse noduläre Infiltrate von C-Zellen mit reichlich hellem Zytoplasma verdrängen fast vollständig das Epithel der betroffenen Follikel. In diesem Bildausschnitt ist kein invasives Wachstum der C-Zellen feststellbar. (Die hyperplastischen C-Zellen liegen innerhalb der Basalmembran der Schilddrüsenfollikel).
Zusatzbefund
Mehrere scharf begrenzte weisse Knoten in beiden Schilddrüsenlappen von bis zu 8mm Durchmesser.
Klinik
Beim Vater der Patientin wurde ein bilaterales Phäochromozytom diagnostiziert und in der Folge eine multiple endokrine Neoplasie vom Typ 2A. Im Familienscreening wurde bei der Patientin eine Mutation im Ret-Protoonkogen nachgewiesen und eine prophylaktische Thyreoidektomie durchgeführt.
Kommentar
Bei Patienten mit familiär bedingten medullären Karzinomen lassen sich im Gegensatz zu sporadischen Fällen typischerweise neben dem Karzinom zusätzlich hyperplastische Herde von C Zellen nachweisen. In diesen Fällen handelt es sich um eine neoplastische Hyperplasie der C Zellen mit einem erhöhten Risiko für eine maligne Transformation. C Zell Hyperplasien bei Patienten ohne MEN Syndrom besitzen dagegen kein gesichtertes Entartungspotenzial.
Bilder Typ
Histologie
Vergrösserung
320
Alter
21
Geschlecht
unbekannt
Datum
Ersteintrag: 06.10.2002