Wichtiger Sicherheitshinweis: Pathorama wurde zwischen dem 26. und 27. Dezember 2025 angegriffen. Falls Sie die Website in diesem Zeitraum besucht haben, lesen Sie bitte die wichtigen Informationen hier:
Zur Information

Basel 3BA HS/ Chronische Pyelonephritis

Diagnose
Chronische Pyelonephritis
Diagnose Gruppe
Entzündung infektiös
Differenzialdiagnose
Topographie Gruppe
Niere, Harnwege
Topographie
Niere
Einleitung
Aetiologie und Pathogenese:
Eine chronische Pyelonephritis ist eine durch Bakterien oder Pilze ausgelöste Entzündung von Nierenparenchym und Nierenbeckenschleimhaut, die zu einer Destruktion des Nierengewebes führt. Die Pathogenese der nicht obstruktiven chronischen Pyelonephritis ist ungeklärt. Als Auslöser werden rezidivierende akute Pyelonephritiden (> 1754), Persistenz von Bakterienantigenen in der Niere, eine Autoimmunreaktion oder Persistenz von Endotoxinen diskutiert. Bei Reflux-bedingter chronischer Pyelonephritis können rezidivierende akute pyelonephritische Schübe oder eine initial schwere Vernarbung der Niere mit konsekutiver Überlastungsglomerulopathie zur Progredienz des Nierenleidens führen. Bei einer obstruktiven chronischen Pyelonephritis beruht die Progredienz auf einer Schädigung der Nieren durch die Obstruktion bzw. auf chronisch rezidivierenden akuten Pyelonephritisschüben.

Morphologie:
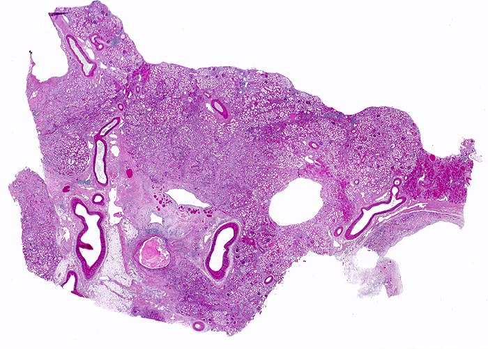
Die Nieren sind mehr oder weniger stark verkleinert. Die Oberfläche ist durch breitbasige und U-förmige narbige Einziehungen über dilatierten oder deformierten Nierenkelchen grob gebuckelt. Die Narben sind verschieden gross und aufgrund der starken Vaskularisation rot gefärbt. (Vaskuläre Narben sind dagegen weiss und scharf begrenzt). Das Endstadium bildet eine fein granulierte Schrumpfniere (=totale pyelonephritische Narbenniere). Die Mark-Rindengrenze ist verwaschen. Die Narben sind auf Schnitt keilförmig und reichen mit der Keilspitze bis ans Nierenbecken. Die Nierenbeckenschleimhaut ist stark verdickt und eventuell gerötet. Papillennekrosen sind besonders bei Diabetikern und Analgetikanephropathie häufig.
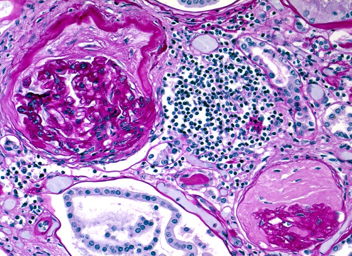
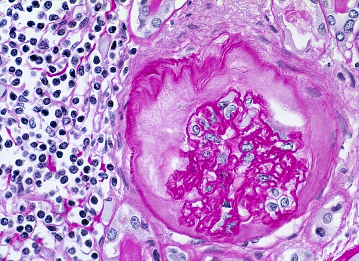
Histologisch finden sich neben völlig unverändertem Parenchym herdförmige Infiltrate aus Lymphozyten, Plasmazellen, Histiozyten und bei akutem Schub zusätzlich neutrophile Granulozyten. Das destruierte Gewebe wird durch Granulationsgewebe im Intersititum organisiert. Gruppen erhaltener Tubuli mit vergrössertem Durchmesser und abgeflachtem Epithel gefüllt mit Harnmukoid (=Tamm-Horsfall Protein und/oder IgA) bilden Pseudostrumaherde (> 1793). Diese sind ein wichtiger Hinweis aber kein Beweis für chronische Pyelonephritis. Bei Kindern finden sich oft zusätzlich Lymphfollikel. Glomeruli kollabieren und zeigen eine konzentrische periglomeruläre Fibrose. Oft findet sich eine Arteriolosklerose und eine adaptative Intimafibrose grösserer Arterien. Obligat findet sich eine schwere chronische Pyelitis sowie eine Fibrose von Nierenbecken und Nierenmark.
Bei fortgeschrittener bilateraler Nierenschädigung kommt es zum Auftreten einer Überlastungsglomerulopathie, die meist unter dem Bild einer segmentalen fokalen Glomerulosklerose in Erscheinung tritt.
Klinik
Vorkommen:
Eine chronische Pyelonephritis findet sich bei 8% aller Autopsien. Ein akuter Schub liegt bei 25% der Patienten mit chronischer Pyelonephritis zum Zeitpunkt des Todes vor.

Symptomatik:
Klinische Zeichen einer chronischen Pyelonephritis sind rezidivierende Fieberschübe, Flankenschmerzen, Pyurie oder Leukozyturie, Bakteriurie, Polyurie, Harnkonzentrationsstörung, Azidose, Hypertonie und Anämie.

Risikofaktoren:
Bei rezidivierenden Pyelonephritisschüben sollte nach einer therapierbaren Ursache gesucht werden: pyeloureteraler Reflux, Abflussstörung (Tumor, Prostatahyperplasie), Nephrolithiasis (> 1687) (> 1688).

Prognose:
Die chronische Pyelonephritis führt praktisch nie zur terminalen Niereninsuffizienz.
Normalbefund
Morphologie
Morphologische Merkmale:
  • Grobhöckrige Nierenoberfläche wegen narbigen Einziehungen.
  • Prominente dickwandige Arterien mit adaptativer Intimafibrose.
  • Streifenförmige Narben mit Pseudostrumaherden (dilatierte sekretgefüllte (Tamm-Horsfallprotein +/- IgA) Tubuli mit abgeflachtem Epithel).
  • Chronisches überwiegend lymphozytäres Entzündungsinfiltrat im Interstitium.
  • Glomerula mit kollabierten Kapillarschlingen.
Das sollte der Kliniker dem Pathologen mitteilen:
  • Nierenfunktion.
  • Urinbefund.
  • Rezidivierende Pyelonephritisschübe.
Makroskopie
Virtuelles Präparat
Befund
Pathologischer Befund
Normalbefund
Datum
Ersteintrag: 15.03.2019
Update: 15.03.2019