Wichtiger Sicherheitshinweis: Pathorama wurde zwischen dem 26. und 27. Dezember 2025 angegriffen. Falls Sie die Website in diesem Zeitraum besucht haben, lesen Sie bitte die wichtigen Informationen hier:
Zur Information

Basel 3BA HS/ Venenthrombose in Organisation

Diagnose
Venenthrombose in Organisation
Diagnose Gruppe
vaskulär / Durchblutungsstörung
Differenzialdiagnose
Topographie Gruppe
Kardiovaskuläres System
Topographie
Vene Bein
Einleitung
Pathogenese:
Von den drei bereits im 19. Jahrhundert von Virchow definierten Thrombosemechanismen (Gefässwandverletzung, Stase und Hyperkoagulabilität) dominieren in der Pathogenese der Venenthrombose die beiden letzteren.

Morphologie:
Thromben haben eine matte Oberfläche mit oder ohne Riffelung, sind brüchig und je nach Alter wandadhärent. Postmortal entstandene Leichengerinnsel sind elastisch, glatt, glänzend, von roter (Cruor) oder gelber (Speckhautgerinnsel ohne Erythrozyten) Farbe und nie wandadhärent.
Abscheidungsthromben (=Korallenstockthromben) bestehen aus einer periodischen Schichtung von Thrombozyten und von in Fibrinnetzen gefangenen Granulozyten und Erythrozyten. Gerinnungsthromben entstehen auf einer stagnierenden Blutsäule beispielsweise nach Gefässligatur oder aufgepfropft auf einen okkludierenden Abscheidungsthrombus. Aufgrund der fehlenden Zirkulation kommt es zu einer Hypoxidose in der Blutsäule mit Freisetzung von Gerinnungsfaktoren aus Thrombozyten. Dies führt zu einer Fibrinausfällung ohne besondere lokale Anreicherung von Blutbestandteilen oder Fibrin (Gerinnungsthrombus). Makroskopisch sind diese Thromben homogen rot und ohne Riffelung. Aufgrund ihrer höheren Brüchigkeit lösen sie sich leicht und führen zu Embolien (> 1432).
Gemischte Thromben bestehen aus einem oder mehreren Abscheidungsthromben und dazwischenliegenden oder angehefteten Gerinnungsthromben.

Verlauf:
Der Organisationsablauf einer Venenthrombose oder von thromboembolischem Material läuft gesetzmässig ab und kann daher zur ungefähren Altersbestimmung einer Venenthrombose beigezogen werden. Nach 1-4 Tagen sind die Erythrozyten verklebt und die Thrombozyten verschwinden. Die Granulozyten sind intakt. Eine Reaktion der Intima fehlt. Der Thrombus kann problemlos aus dem Gefäss entfernt werden. Nach 4-8 Tagen erscheinen mononukleäre Zellen im thrombotischen Material. Fibroblasten, Makrophagen, Endothelzellen und erste argyrophile Fasern tauchen in der Intima auf. Der Thrombus wird jetzt wandhaftend. Ab dem 5. Tag wird Hämosiderin gebildet. Nach 8-12 Tagen wachsen Kapillaren ein und erste Kollagenfasern werden gebildet. Vom 12. bis 17. Tag starke Pyknose und Karyolyse der Granulozyten. Nach zwei Wochen Endothelialisierung des Thrombus vom Rand her. Nach 18-25 Tagen sind die mononukleären Zellen verschwunden, Granulozyten sind nur noch schattenhaft erkennbar und der bindegewebig durchwachsene Thrombus wird von einem zusammenhängenden Endothel bedeckt. Zunehmende Kapillarbildung innerhalb des organisierten Thrombus (Rekanalisation). Mehrkanalige Lumina zeigen immer eine organisierte Thrombose an. Vollständig organisierte Thromben können makroskopisch als Strickleitern (> 63) imponieren.
Klinik
Vorkommen:
Tiefe Venenthrombosen und davon hervorgerufene Lungenembolien stellen die häufigste Ursache einer potentiell verhinderbaren Mortalität von Spitalpatienten dar. Von Venenthrombosen betroffene Patienten sind meist über 40 Jahre alt.

Risikofaktoren:
Eine Hyperkoagulabilität kann vererbt oder erworben sein. Zu den häufigeren vererbten Thrombophilien zählen Mutationen im Faktor V Gen (Faktor V Leiden), Mutationen im Prothrombin (Faktor II) und homozygote Mutationen im Methylentetrahydrofolat Reductase Gen. Selten ist ein Mangel an Antithrombin, Protein C oder Protein S Ursache einer Thrombose. Oft spielen bei einem Patienten mehrere dieser Faktoren eine Rolle. Das höchste Thromboserisiko (0.87-1.6% Thrombosen pro Jahr) haben Patienten, die heterozygot sind für Antithrombinmangel. Zu den erworbenen Faktoren zählen operative Eingriffe, Traumata, prolongierte Immobilisation, hohes Alter, maligne Tumorerkrankungen, Thrombose in der Anamnese, Schwangerschaft und Wochenbett, Kontrazeptiva und Hormonersatztherapie, Antiphospholipid Antikörper oder eine Hyperhomozysteinämie.
Eine Thrombophilie ist sehr wahrscheinlich bei einem Patienten mit Thrombose ohne äussere Risikofaktoren, wenn er eines der folgenden Kriterien erfüllt: jünger als 45 Jahre, Rezidiv, positive Familienanamnese, zerebrale oder mesenteriale Venenthrombose, Fehlgeburt, 3 oder mehr unerklärte Spontanaborte. Diese Patienten sollten nach einer 6 monatigen Therapie mit oraler Antikoagulation ausgedehnt auf das Vorliegen einer hereditären Thrombophilie abgeklärt werden.

Symptomatik:
Die Symptome einer tiefen Venenthrombose hängen ab vom Grad der Gefässobstruktion. Die klinische Diagnose ist wenig sensitiv und auch wenig spezifisch. Nicht selten sind die Patienten asymptomatisch. Das verlässlichste Zeichen ist ein neu aufgetretenes einseitiges Beinödem. Spontane Schmerzen und Druckschmerzhaftigkeit werden zwar recht oft angegeben, sind aber völlig unspezifisch. Manchmal sind Entzüdungszeichen der Haut über der Thrombose vorhanden. Bei 10% der Patienten weisen Lungenembolien auf das Vorliegen einer tiefen Venenthrombose hin.

Diagnostik und Therapie:
Die Duplex Sonographie hat eine Spezifität und Sensitivität von 98% für proximale Venenthrombosen. Für den Nachweis von distal gelegenen Thromben und Altersbestimmungen ist diese nicht invasive Untersuchung aber nur bedingt geeignet. Ziel der Therapie ist die Prävention von Lungenembolien, Rezidivthrombosen und des postthrombotischen Syndroms.
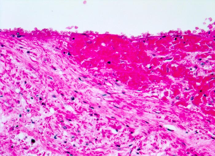
Morphologie
Morphologische Merkmale:
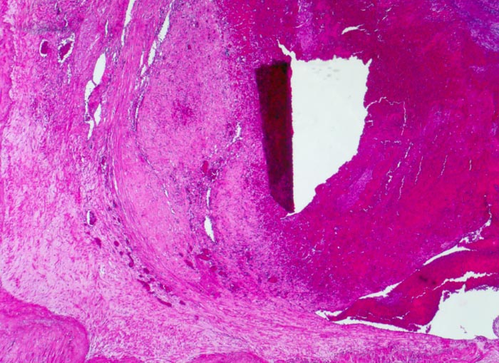
Beinarterie mit Zeichen der Atherosklerose (fatty streaks und Fibroatherome in der Intima, atrophe verkalkte Media) und begleitende Vene.
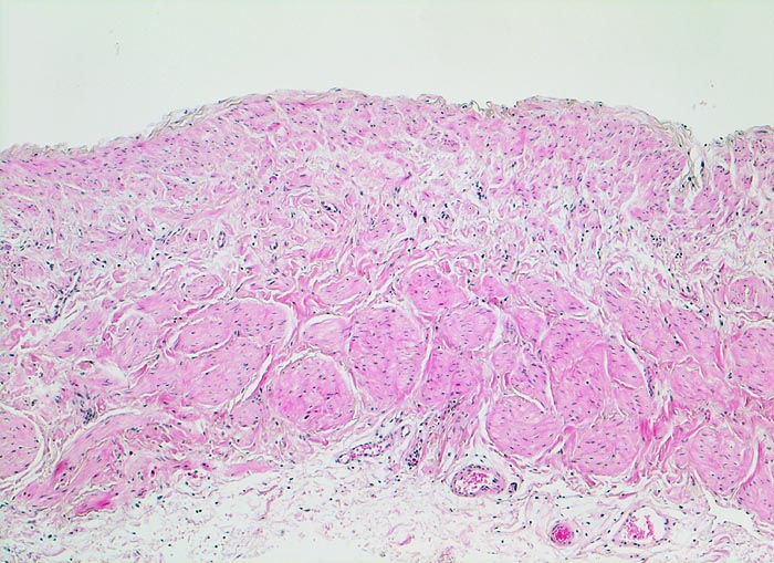
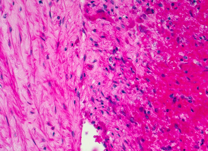
Wandhaftender gemischter Thrombus im Venenlumen:
  • Abscheidungsthrombus bestehend aus abwechselnden Schichten von Fibrinnetzen mit Erythrozyten und neutrophilen Granulozyten sowie helle Lamellen aus Fibrin und Thrombozyten.
  • Aufgelagerter Gerinnungsthrombus bestehend aus lockerem Fibrinnetz, zahlreichen Erythrozyten und wenig Neutrophilen ohne erkennbare Schichtung der Blutbestandteile.
  • Beginnende Organisation des Thrombus durch Granulationsgewebe.
Makroskopie
Virtuelles Präparat
Befund
Pathologischer Befund
Normalbefund
Datum
Ersteintrag: 14.03.2019
Update: 14.03.2019