Wichtiger Sicherheitshinweis:
Pathorama wurde zwischen dem
26. und 27. Dezember 2025
angegriffen. Falls Sie die Website in diesem Zeitraum besucht haben, lesen Sie bitte die wichtigen Informationen hier:
Zur Information
Pathopic
HiPaKu
ZyPaKu
Projektinfos
PathoPic - Projekt- und Copyright-Info
About
Pathopic
HiPaKu
ZyPaKu
PathoPic – image database
/
PathoPic ID 5068 - normale Venenwand: Endothel
de
Diagnose
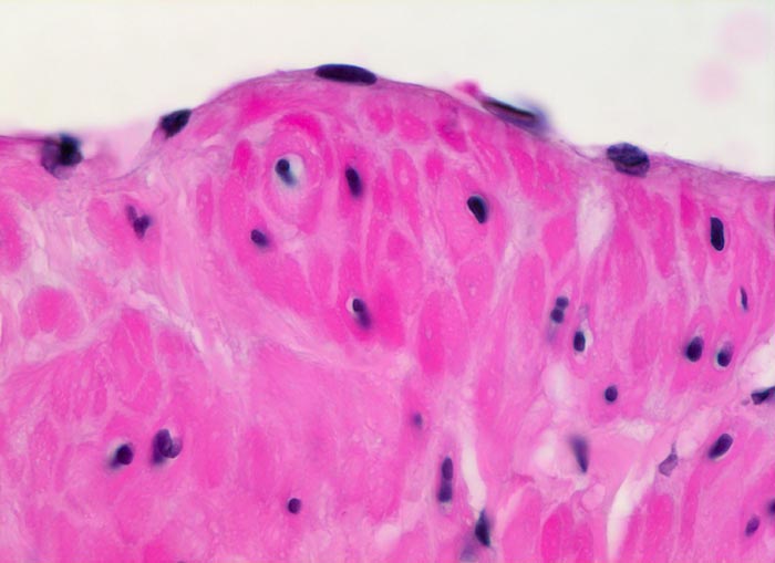
normale Venenwand: Endothel
Diagnose Gruppe
Normalbefund
Topographie
Vene
Topographie Gruppe
Kardiovaskuläres System
Beschreibung
Flache
Endothelzellen der Intima grenzen unmittelbar an die glatte Muskulatur der Media.
Kommentar
Im Gegensatz zu den Arterien ist die Intima (Endothel und subendotheliales Bindegewebe) der Vene sehr dünn.
Bilder Typ
Histologie
Vergrösserung
630
Alter
45
Geschlecht
männlich
Datum
Ersteintrag: 06.07.2002
CPS
·
©
2025 Institut für Pathologie Basel
/
Dr. med. Katharina Glatz-Krieger
.
·
v2.2