Wichtiger Sicherheitshinweis: Pathorama wurde zwischen dem 26. und 27. Dezember 2025 angegriffen. Falls Sie die Website in diesem Zeitraum besucht haben, lesen Sie bitte die wichtigen Informationen hier:
Zur Information

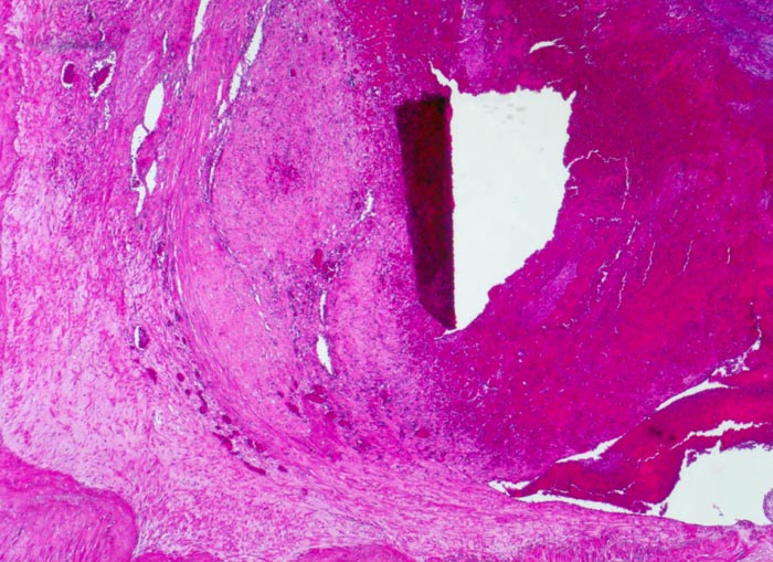
PathoPic – image database / PathoPic ID 4556 - Venenthrombose in Organisation

de
Diagnose
Venenthrombose in Organisation
Diagnose Gruppe
vaskulär / Durchblutungsstörung
Topographie
Vene Bein
Topographie Gruppe
Kardiovaskuläres System
Beschreibung
Rechts im Bild die Venenthrombose. Links die verdickte und sklerosierte Intima mit Gefässneubildungen. Der Thrombus wird durch Granulationsgewebe organisiert. Dadurch haftet der Thrombus an der Venenwand.
Zusatzbefund
Todesursache: Multiple ältere periphere und frische parazentrale Lungenembolien.
Klinik
Metastasierendes Tumorleiden. Der Patient wird tot im Bett aufgefunden.
Kommentar
Ältere Venenthrombosen sind aufgrund der Organisation wandhaftend.
Bilder Typ
Histologie
Vergrösserung
25
Alter
74
Geschlecht
männlich
Datum
Ersteintrag: 15.04.2002