Wichtiger Sicherheitshinweis:
Pathorama wurde zwischen dem
26. und 27. Dezember 2025
angegriffen. Falls Sie die Website in diesem Zeitraum besucht haben, lesen Sie bitte die wichtigen Informationen hier:
Zur Information
Pathopic
HiPaKu
ZyPaKu
Projektinfos
PathoPic - Projekt- und Copyright-Info
About
Pathopic
HiPaKu
ZyPaKu
PathoPic – image database
/
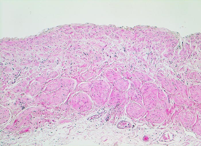
PathoPic ID 4206 - normale Nierenvene
de
Diagnose
normale Nierenvene
Diagnose Gruppe
Normalbefund
Topographie
Vene Niere
Topographie Gruppe
Kardiovaskuläres System
Beschreibung
Normal aufgebaute Venenwand.
Bilder Typ
Histologie
Vergrösserung
50
Alter
54
Geschlecht
männlich
Datum
Ersteintrag: 05.03.2002
CPS
·
©
2025 Institut für Pathologie Basel
/
Dr. med. Katharina Glatz-Krieger
.
·
v2.2