Wichtiger Sicherheitshinweis: Pathorama wurde zwischen dem 26. und 27. Dezember 2025 angegriffen. Falls Sie die Website in diesem Zeitraum besucht haben, lesen Sie bitte die wichtigen Informationen hier:
Zur Information

Basel 3BA HS/ Hämosiderose/Hämochromatose der Leber

Diagnose
Hämosiderose/Hämochromatose der Leber
Diagnose Gruppe
Artefakt / Fremdkörper / Pigment
Differenzialdiagnose
  • - Hämochromatose- Hämosiderose
Topographie Gruppe
Leber, Gallenwege, Pankreas
Topographie
Leber
Einleitung
Definition:
Der Nachweis von anfärbbarem Hämosiderin oder Ferritin in der Leber wird Hämosiderose genannt unabhängig von der Ursache und von der Intensität der Eisenablagerung.

Die Hämochromatose ist eine genetisch zumeist autosomal rezessiv verursachte Erkrankung, die durch Eisenüberladung zu Organschäden führt.
 
Aetiologie:
Normalerweise werden pro Tag im Duodenum 1 bis 2 mg Eisen aufgenommen. Ebensoviel wird täglich ausgeschieden. Beim Gesunden kann im Falle eines Eisenmangels die Aufnahmekapazität auf 5mg/d gesteigert werden. Da die Ausscheidung nicht reguliert wird, resultiert bei einer pathologisch gesteigerten Aufnahme (Bsp. Bluttransfusionen) zwingend eine Plusbilanz. Vermehrte Eisenablagerungen in der Leber finden sich bei der genetischen Hämochromatose, bei alkoholischem Leberschaden, nach regelmässigen Erythrozyten-Transfusionen, nach hämolytischen Episoden und bei diversen anderen selteneren Ursachen. Jede Zirrhose kann ausserdem zu Eisenablagerungen in der Leber führen. Bei fortgeschrittener Hämosiderose und bei Eisenablagerungen in einer Leberzirrhose ist eine ätiologische Zuordnung schwierig. 

80-90% der hereditären Hämochromatosen werden durch Mutationen im Hämochromatose-Gen HFE verursacht. Dadurch kommt es zu einer fehlenden Hochregulation der Hepcidinproduktion in der Leber bei vollen Eisenspeichern. Hepcidin sorgt bei vollen Eisenspeichern dafür, dass Eisen nicht mehr aus den Enterozyten und Makrophagen exportiert werden kann via Ferroportin. Aufgrund des Hepcidinmangels bei der Hämochromatose wird Eisen trotz voller Speicher ungehemmt im Dünndarm resorbiert.

Morphologie:
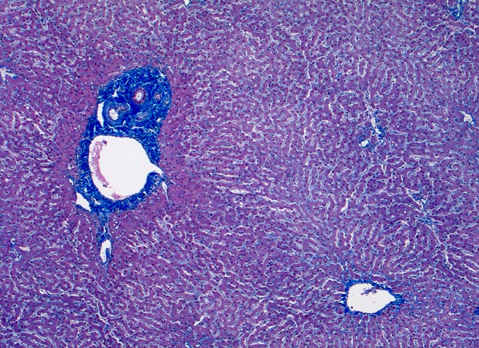
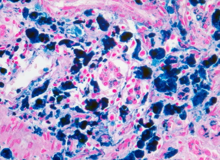
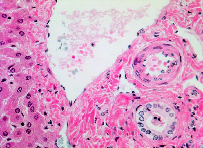
Bei ausgeprägten Eisenablagerungen zeigen parenchymatöse Organe eine Braunverfärbung (> 1521). Die Bestimmung des histologischen hepatischen Eisenindexes nach Deugnier erlaubt eine Abgrenzung der genetisch bedingten Hämochromatose von einer Hämosiderose. Dabei werden Verteilung und Ausmass der Eisenablagerungen berücksichtigt. Bei der Hämochromatose wird das Eisen primär in den periportalen Hepatozyten abgelagert, später auch in Gallengangsepithelien und Gefässendothelien. Bei nicht genetisch bedingter Hämosiderose finden sich die Ablagerungen vor allem in Kupffer Zellen (> 00975).

update 2. September 2022

Klinik
Vorkommen der Hämochromatose:
Zur klinischen Manifestation der Erkrankung kommt es bei Männern mit homozygoter Mutation des Hämochromatosegens um das 40. Altersjahr, bei Frauen etwa 10 Jahre später. Die Prävalenz von Homozygoten wird auf 1:200-400 geschätzt. Die Mehrzahl dieser homozygoten Träger bleiben aber wegen geringer Penetranz asymptomatisch.
 
Symptome der Hämochromatose:
Die klassische Trias von Zirrhose, Bronze-Haut und Diabetes ist heute als Erstmanifestation selten geworden. Es überwiegen unspezifische Symptome wie Müdigkeit, Unwohlsein und Arthralgien. Bei Kombination mit häufig erhöhten Transaminasen oder einer Hepatomegalie sollte eine weitergehende Abklärung erfolgen.
 
Diagnostik der Hämochromatose:
Eine wiederholt nach Fasten bestimmte Transferrinsättigung von über 45% bei gleichzeitigem Vorliegen eines Serumferritins über 500 ng/ml machen nach Ausschluss einer sekundären Eisenüberladung das Vorliegen einer Hämochromatose wahrscheinlich. Da die klinischen Symptome der Hämochromatose sehr unspezifisch und die "klassischen" laborchemischen diagnostischen Tests in der frühen Diagnostik der Erkrankung unzuverlässig sind, ist die genetische Diagnostik von großer Bedeutung. Diese ist sinnvoll bei symptomatischen Patienten mit Transferrinsättigung >50% (2 Mal bestimmt). Die Bestimmung des Genotyps erlaubt nicht nur die Diagnose der Erkrankung beim Indexpatienten, sondern auch bei asymptomatischen Angehörigen. Da aber die Penetranz der homozygoten C282Y/C282Y und der compound heterozygoten C282Y/H63D Mutation nur 1-25% beträgt, ist der Nachweis der Mutation nicht gleichzusetzen mit der Diagnose einer hereditären Hämochromatose! Da 10-20% der Erkrankungen nicht durch HFE-Mutationen verursacht werden, schliesst ein negatives Ergebnis der Mutationsanalyse die Diagnose einer Hämochromatose nicht aus.
 Bei Patienten mit nachgewiesener homozygoter/compound heterozygoter Mutation und starker Eisenüberladung bzw. fortgeschrittenem Alter oder bei zusätzlicher Leberpathologie (Alkohol, virale Hepatitis...) sollte die Leber biopsiert werden, um das Ausmass der Fibrose bestimmen zu können. Gleichzeitig kann am Frischmaterial der hepatische Eisenindex (hepatisches Eisen in Mikromol/g Trockengewicht : Alter) bestimmt werden. Ein Wert von über 1.9 ist vereinbar mit einer Hämochromatose auch bei Patienten mit fehlender HFE-Mutation. Patienten mit Leberzirrhose müssen wegen erhöhtem Risiko eines hepatozellulären Karzinoms regelmässig kontrolliert werden.
 
Therapie der Hämochromatose:
Die Therapie besteht bei Anzeichen einer pathologischen Eisenüberladung in den Organen oder einem Ferritin von über 1000 ng/ml in Aderlässen bis das Ferritin unter 50ng/ml sinkt.
 
Komplikationen der Hämochromatose:
Leberzirrhose, hepatozelluläres Karzinom, Kardiomyopathie, Diabetes mellitus, Arthritis und Hodenatrophie.

Prognose:
Unbehandelt führt die Hämochromatose über die Leberzirrhose, ein konsekutives hepatozelluläres Karzinom oder durch kardiale Beteiligung zum Tod. Risikofaktoren für eine manifeste Erkrankung sind männliches Geschlecht, virale Hepatitiden, Alkohol, Adipositas und Gen-Polymorphismen.

update 2. September 2022 
Morphologie
Morphologische Merkmale: 
  • Erhaltene Läppchenarchitektur. 
  • Diffuse grobgranuläre Eisenpigmentablagerungen im Zytoplasma von Hepatozyten, Gallengangsepithel und Gefässendothel der Gefässe in den Portalfeldern. 
  • Gruppen von stark eisenbeladenen Kupffer'schen Sternzellen. Das sollte der Kliniker dem Pathologen mitteilen: 
  • Hämochromatoseverdacht (Genotyp, Eisenstatus). 
  • Exogene Eisenzufuhr (z.B. wiederholte Bluttransfusionen). 
  • Zusätzliche Leberpathologie (virale Hepatitis, Alkoholabusus…). 
Makroskopie
Virtuelles Präparat
Befund
Pathologischer Befund
Normalbefund
Literatur
Datum
Ersteintrag: 31.12.2018
Update: 26.07.2022