Wichtiger Sicherheitshinweis: Pathorama wurde zwischen dem 26. und 27. Dezember 2025 angegriffen. Falls Sie die Website in diesem Zeitraum besucht haben, lesen Sie bitte die wichtigen Informationen hier:
Zur Information

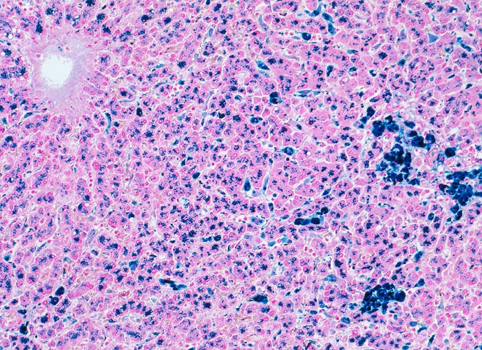
PathoPic – image database / PathoPic ID 3253 - Hämochromatose

de
Diagnose
Hämochromatose
Diagnose Gruppe
Artefakt / Fremdkörper / Pigment
Topographie
Leber
Topographie Gruppe
Leber, Gallenwege, Pankreas
Beschreibung
Links oben im Bild eine Zentralvene. Das Parenchym zeigt diffuse grobgranuläre Eisenpigmentablagerungen. Die dunkelblauen Flecken enstprechen einzeln und in Gruppen liegenden Kupffer'schen Sternzellen, welche stark eisenbeladen sind.
Klinik
Genetische Hämochromatose vom homozygoten Typ.
Bilder Typ
Histologie
Vergrösserung
100
Alter
58
Geschlecht
männlich
Datum
Ersteintrag: 22.09.2002