Wichtiger Sicherheitshinweis: Pathorama wurde zwischen dem 26. und 27. Dezember 2025 angegriffen. Falls Sie die Website in diesem Zeitraum besucht haben, lesen Sie bitte die wichtigen Informationen hier:
Zur Information

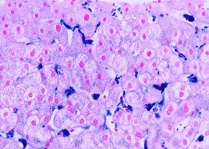
PathoPic – image database / PathoPic ID 975 - Sternzellsiderose

de
Diagnose
Sternzellsiderose
Diagnose Gruppe
Artefakt / Fremdkörper / Pigment
Topographie
Leber
Topographie Gruppe
Leber, Gallenwege, Pankreas
Beschreibung
In der Eisenfärbung werden die Hämosiderin speichernden Kupffer'schen Sternzellen in den Sinusoiden gut sichtbar. In den Hepatozyten finden sich nur sehr geringe feinkörnige Eisenpigmentablagerungen.
Klinik
Zahlreiche Bluttransfusionen wegen hämatologischer Erkrankung.
Bilder Typ
Histologie
Alter
0
Geschlecht
weiblich
Datum
Ersteintrag: 27.11.2001