Wichtiger Sicherheitshinweis: Pathorama wurde zwischen dem 26. und 27. Dezember 2025 angegriffen. Falls Sie die Website in diesem Zeitraum besucht haben, lesen Sie bitte die wichtigen Informationen hier:
Zur Information

Basel 2BA/ Sarkoidose der Lunge

Diagnose
Sarkoidose der Lunge
Diagnose Gruppe
Systemerkrankung/Immunpathologie
Differenzialdiagnose
Topographie Gruppe
Lunge, Mediastinum mit Thymus
Topographie
Lunge
Einleitung
Aetiologie:
Bei der Sarkoidose (Morbus Boeck) handelt es sich um eine Multisystemerkrankung mit nicht verkäsenden epitheloidzelligen Granulomen (> 706), deren Ätiologie unbekannt ist. Sowohl genetische Faktoren als auch Umweltfaktoren scheinen eine Rolle zu spielen. Möglicherweise handelt es sich um eine übertriebene zelluläre Immunantwort auf ein unbekanntes Antigen. Bisher konnte aber kein Krankheitserreger mit der Sarkoidose assoziiert werden. Die Sarkoidose ist weder eine maligne noch eine Autoimmunerkrankung.
 
Lokalisation:
Jedes Organ kann befallen werden. Besonders häufig erkranken: Lunge (95%) und mediastinale Lymphknoten (ca. 75–100%), Auge, Milz, Leber, Bronchialschleimhaut (ca. 25–50%), Haut und periphere Lymphknoten (ca. 33%), Knochen, Herz, Niere, Nervensystem und Muskulatur. Die nicht-nekrotisierenden Granulome sind oft in der Submukosa der Bronchialschleimhaut lokalisiert und können in bronchoskopisch entnommenen Biopsien nachgewiesen werden.
 
Morphologie:
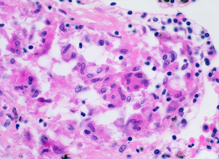
Die Morphologie der Erkrankung ist stadienabhängig. Initial findet sich eine lymphozytenreiche Alveolitis mit wenigen kleinen Granulomen. Die Granulome bestehen aus Aggregaten epitheloider Histiozyten teilweise mit Beteiligung von mehrkernigen Riesenzellen. Im Verlauf entwickeln sich zellreiche Granulome entlang der bronchovaskulären Bündel und der Interalveolarsepten, welche später konfluieren und vernarben. Die Riesenzellen können Asteroidkörperchen (sternförmige Kristalle) oder Schaumannkörperchen (lamelläre Verkalkungen) enthalten. Ein Teil der Patienten entwickelt eine irreversible Lungenfibrose.
 
Differentialdiagnose:
Die Sarkoidose ist eine Ausschlussdiagnose, die primär anhand der Klinik gestellt wird. Nicht verkäsende Granulome können auch bei zahlreichen anderen Erkrankungen gefunden werden: Berylliose, Katzenkratz-Krankheit, Pilzinfekt, exogen allergische Alveolitis, Lepra, primäre biliäre Zirrhose, Tuberkulose... 

update 31. August 2020

Klinik

Vorkommen:
Die Prävalenz beträgt 16:100 000 Einwohner (deutlich höher bei Schwarzen). Die Krankheit befällt zweimal so viele Männer wie Frauen. Die Inzidenz ist am höchsten bei 25 bis 35 Jährigen sowie bei 45 bis 65 jährigen Frauen.
 
Symptomatik:
Systemische Erscheinungen wie Fieber, Appetitlosigkeit und Arthralgien lassen sich bei 45% der Patienten erfragen. Pulmonale Symptome wie Anstrengungsdyspnoe, Husten, Thoraxschmerzen und Hämoptyse treten bei der Hälfte der Patienten auf. Bei der akuten Form (Löfgren-Syndrom) bestehen Fieber, Husten, bihiläre Lymphadenopathie, Polyarthralgien und ein Hauterythem. Diese Form der Erkrankung hat eine exzellente Prognose und liegt bei 30-50% der Patienten vor. Die Erkrankung kann in einen chronischen Verlauf übergehen oder primär chronisch verlaufen. 5% der Patienten sind asymptomatisch und die Erkrankung wird als Zufallsbefund in einem Thoraxröntgenbild entdeckt. 


Diagnostik:
Die Krankheitsaktivität wird anhand der Klinik, des Röntgenbefundes und der Lungenfunktion bestimmt, seltener durch Bronchoalveoläre Lavage (CD4/CD8-Zellquotienten) oder Serum-ACE Wert (Angiotensin converting enzyme). Die häufigste Veränderung im Thoraxröntgenbild stellt die bihiläre und mediastinale Lymphknotenvergrösserung dar. Verschiedene Formen von Lungeninfiltraten, Fibrose und Narbenbildungen können hinzukommen. Zur Bestätigung der Diagnose ist in den meisten Fällen eine Biopsie erforderlich. Meist wird eine Bronchusbiopsie durchgeführt (in 70-80% positiv). Hiläre Lymphknoten, Haut, Konjunktiva oder Lippe können ebenfalls biopsiert werden. Biopsien aus der Leber oder Scalenuslymphknoten sind ungeeignet, da Granulome in diesen Lokalisationen sehr unspezifisch sind. Die Sarkoidose lässt sich beweisen mit einer Broncho-Alveolären Lavage (BAL) mit einer Sensitivität von >90% wenn: Lymphozytenzahl 40–60%, > 90% T-Zellen und T4/T8-Quotient > 2 (normal: 1,6).
 
Therapie:
Die meisten Patienten (>75%) brauchen lediglich eine symptomatische Therapie (NSAR). Die übrigen Patienten erhalten zusätzlich Corticosteroide, Immunsuppressiva oder zytotoxische Medikamente.
 
Prognose:
Die Prognose ist aufgrund der hohen Spontanheilungsrate im Allgemeinen sehr gut. Eine funktionelle Beeinträchtigung besteht nur bei 15-20% der Patienten. Die Mortalität bei unbehandelten Patienten liegt bei 1-5%. Die Patienten versterben hauptsächlich an den Folgen der kardialen Beteiligung, an der fortgeschrittenen Lungenerkrankung (respiratorische Insuffizienz, Rechtsherzversagen) oder an der ZNS Beteiligung. 

update 31. August 2020

Morphologie
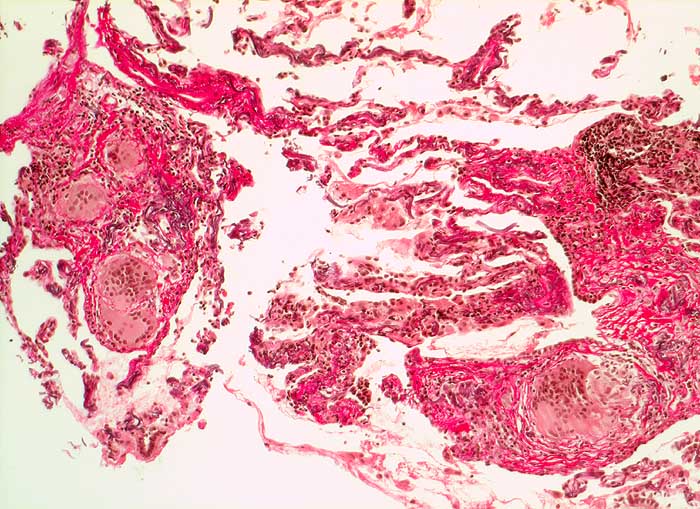
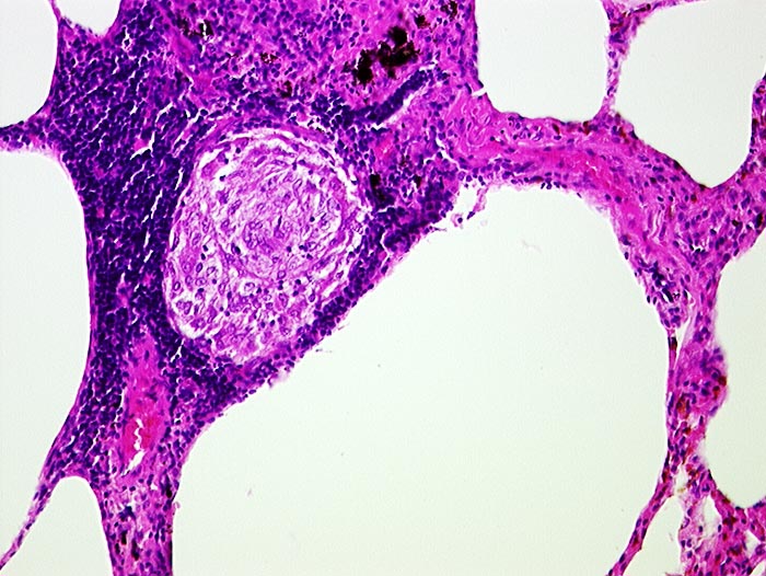
Morphologische Merkmale: 
  • Zahlreiche produktive, nicht nekrotisierende Granulome aus dickleibigen Epitheloidzellen, Riesenzellen vom Langhanstyp und Lymphozyten. 
  • Ausgeprägte Fibrosierung der Granulome. 
  • Herdförmige Vernarbung des Lungenparenchyms. 
  • Bevorzugte Lokalisation der Granulome im Bereich von Bronchiolen und Pulmonalarterienästen. Das sollte der Kliniker dem Pathologen mitteilen: 
  • Radiologischer Befund. 
  • Ergebnis der Bronchoalveolären Lavage. 
  • Ausschluss anderer granulomatöser Erkrankungen. 
Makroskopie
Virtuelles Präparat
Befund
Pathologischer Befund
Normalbefund
Datum
Ersteintrag: 15.03.2019
Update: 31.08.2020