Wichtiger Sicherheitshinweis: Pathorama wurde zwischen dem 26. und 27. Dezember 2025 angegriffen. Falls Sie die Website in diesem Zeitraum besucht haben, lesen Sie bitte die wichtigen Informationen hier:
Zur Information

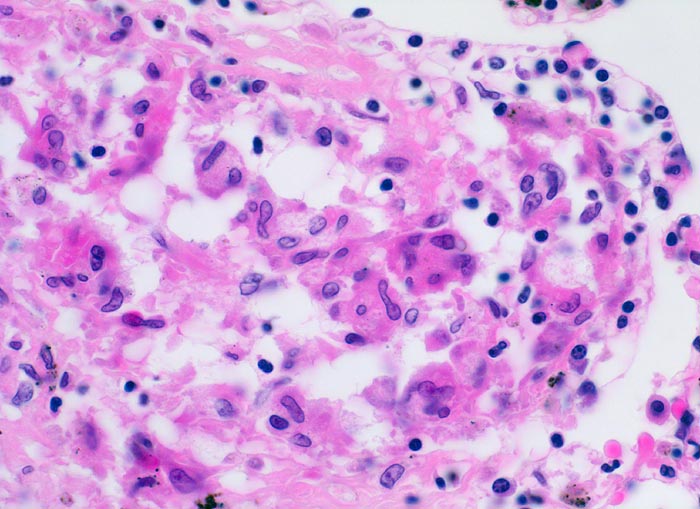
PathoPic – image database / PathoPic ID 4709 - Sarkoidosegranulom

de
Diagnose
Sarkoidosegranulom
Diagnose Gruppe
Systemerkrankung/Immunpathologie
Topographie
Lunge
Topographie Gruppe
Lunge, Mediastinum mit Thymus
Beschreibung
Produktives, nicht nekrotisierendes Granulom mit zahlreichen Epitheloidzellen, Riesenzellen vom Fremdkörpertyp und einem peripheren Saum von Lymphozyten und einzelnen Plasmazellen.
Zusatzbefund
In Spezialfärbungen lassen sich weder Pilze noch Bakterien nachweisen.
Klinik
bekannte Sarkoidose
Bilder Typ
Histologie
Vergrösserung
400
Alter
46
Geschlecht
unbekannt
Datum
Ersteintrag: 08.07.2002