Wichtiger Sicherheitshinweis: Pathorama wurde zwischen dem 26. und 27. Dezember 2025 angegriffen. Falls Sie die Website in diesem Zeitraum besucht haben, lesen Sie bitte die wichtigen Informationen hier:
Zur Information

Basel 2BA/ Lungentuberkulose

Diagnose
Lungentuberkulose
Diagnose Gruppe
Entzündung infektiös
Differenzialdiagnose
Topographie Gruppe
Lunge, Mediastinum mit Thymus
Topographie
Lunge
Einleitung
Aetiologie:
Die Tuberkulose wird meist durch Mycobacterium tuberculosis, seltener durch M. bovis oder atypische Mycobakterien ausgelöst. Die Übertragung erfolgt fast ausschliesslich aerogen durch Tröpfchen einer an ansteckender Tuberkulose erkrankten Person (Sputum enthält lebende Mykobakterien). Tuberkulose übertragen also nur Personen, die an Tuberkulose der Atemwege erkrankt sind und deren ausgehustetes Sekret in ausreichendem Masse Tuberkulosebakterien enthält, die als Aeorosol in die Umgebungsluft gelangen. Patienten mit Kultur-negativer Lungentuberkulose und extrapulmonaler Tuberkulose sind praktisch nicht infektiös.

Verlauf:
Bei der Tuberkulose unterscheidet man eine Phase der Primärinfektion (alle Tuberkuloseentwicklungen bei noch aktiven Primärinfektionsherden) und eine Phase der postprimären Tuberkulose. Sitz der Primärinfektion ist praktisch immer die Lunge. Der pulmonale Primärkomplex (> 359) besteht aus einem meist subpleuralen Lungenrundherd, der später fibrosiert und verkalkt und dem zugehörigen Lymphknotenherd. Bei den meisten Infizierten bleibt die Tuberkulose auf die Primärkomplexläsionen beschränkt.
An Tuberkulose erkranken nur ca. 10% der exponierten und infizierten Personen in der Regel innerhalb von zwei Jahren nach Infektion. Eine Tuberkuloseerkrankung (Fortschreiten oder Reaktivierung der Infektion) tritt vor allem im Kleinkindesalter und bei beeinträchtigter Funktion des Immunsystems auf (HIV Infektion, immunsuppressive Therapien, Diabetes mellitus, Raucher, Unterernährung...). Selten verläuft die Primärinfektion progredient mit Entwicklung einer meist einseitigen Ausbreitung der Herde mit Frühkavernenbildung, verkäsender Pneumonie und oft einer hämatogenen Frühstreuung. Die progressive Lymphknotentuberkulose des Primärkomplexes ist der häufigste Ausgangspunkt der lympho-hämatogenen Streuung in der Primärperiode. Die isolierte Organtuberkulose der Lunge wird Lungenphthise genannt. Dabei handelt es sich meist um eine Exazerbation alter, vorwiegend apikaler hämatogener vorübergehend zur Ruhe gekommener Streuherde bei verminderter Resistenzlage oder seltener um eine kontinuierliche phthisische Entwicklung im Rahmen einer hämatogenen Streuung. Eine hämatogene Streuung kann ausgehen von primären oder postprimären, pulmonalen oder extrapulmonalen Herden. Sie kann bei verminderter Resistenzlage jederzeit vorkommen. Das Spektrum reicht von einzelnen kleinen Streuherden bis zur miliaren Aussaat (> 2865) (> 3680) mit bakterienreichen areaktiven käsigen Herden bei der Tuberkulosepsis

Morphologie:
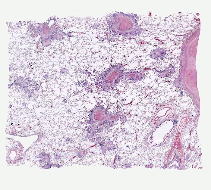
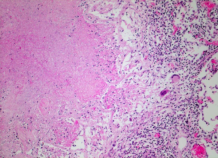
Das morphologische Bild ist äusserst variabel. Je nach Abwehrlage, Art und Geschwindigkeit der Ausbreitung entstehen unterschiedlich grosse, teils geschichtete Herde mit unterschiedlichem Grad an Epitheloidzellreaktion, zentraler Nekrose bzw. Vernarbung. Rein produktive Granulome ohne Nekrosen sind Zeichen guter Abwehrlage. Der Begriff Verkäsung bezieht sich auf den makroskopischen Aspekt von Nekrosen, der an Frischkäse erinnert. Exsudative nekrotisierende Granulome entstehen bevorzugt bei schlechter Abwehrlage. In späteren Stadien der Lungentuberkulose unterscheidet man produktive Phthisen mit azinös nodösen Gruppen von bronchogen entstandenen gering verkäsenden Streuherden (Präparat), zirrhotische Phthisen mit gering verkäsenden stark vernarbenden Herden und exsudative Phthisen bei schlechter Abwehrlage. Bei letzterer steht die Verkäsung im Vordergrund. Die bakterienreichen Herde entstehen teils hämatogen, teils bronchogen. Verkäsende Herde sind Ausgangspunkt für die Kavernenbildung. Kavernen stellen die wichtigste Quelle für die bronchogene Streuung dar.

update 30. August 2012
Klinik
Vorkommen:
Ein Drittel der Weltbevölkerung ist mit Tuberkulose infiziert. Eine Minderheit der exponierten und infizierten Personen (ca. 10%) erkrankt im Verlauf an einer Tuberkulose (Fortschreiten oder Reaktivierung. In den übrigen Fällen kommt es innerhalb von 6 Monaten zur Spontanheilung. 2 Millionen Menschen sterben jährlich weltweit an Tuberkulose. In der Schweiz wie in den meisten westeuropäischen Ländern sind die Erkrankungsrisiken sehr gering und insgesamt stabil bis rückläufig. Pro Jahr werden in der Schweiz rund 500 Fälle gemeldet. Die Hälfte der Betroffenen sind Ausländer aus Hochrisikoländern und Betagte. AIDS scheint in der Schweiz keinen Einfluss auf die Inzidenz zu nehmen. 70% der therapiebedürftigen Erkrankungen sind dem Wiederaufflackern alter Infektionsherde zuzuschreiben.

Risikofaktoren:
Das Risiko, eine aktive Tuberkulose zu entwickeln ist erhöht bei HIV Patienten, Silikose, Neoplasien, Dialysepatienten, insulinabhängigem Diabetes mellitus, Immunsupprimierten und mangelernährten Patienten. Die Reaktivierung einer latenten Tuberkulose ist eine schwerwiegende Nebenwirkung der Behandlung mit Anti-TNF-alpha Antikörpern von Patienten mit rheumatoider Arthritis, Spondylitis ankylosans, Morbus Crohn oder Psoriasis. In diesen Fällen findet sich oft ein extrapulmonaler oder dissemninierter Befall.

Symptome:
Die Tuberkulose verläuft klinisch als langsam fortschreitende Infektion. Bei Lungenbefall leiden die Patienten unter Husten mit geringem oft blutigem Auswurf und Allgemeinsymptomen wie Fieber, Müdigkeit, Nachtschweiss und Gewichtsverlust. Bei Arrosion eines Gefässes einer Kavernenwand kann es zu massiven Hämoptysen kommen. Ältere Patienten haben oft wenig Symptome. Vor allem die Miliartuberkulosen bei alten Patienten werden oft verpasst. Autoptische Befunde von klinisch nicht diagnostizierten Tuberkulosen zeugen davon, dass wegen der tiefen Erkrankungsraten in der Schweiz die Tuberkulose in der medizinischen Diagnostik des Alltags unterschätzt wird.

Diagnostik:
Radiologisch sind einseitige Infiltrate und Kavernen in den Oberlappen oder ein miliares Bild typisch. Sensitivität und Spezifität des Thoraxröntgenbildes sind aber gering und die möglichen Veränderungen sind äusserts variabel. Kein radiologischer Befund ist beweisend für eine Tuberkulose.
Nach Kontakt mit Mykobakterien entwickeln die meisten Personen eine verzögerte Immunreaktion, die auf einer Sensibilisierung von T-Lymphozyten beruht. Der Begriff latente Tuberkulose beschreibt das Vorliegen dieser Immunreaktion. Die Sensibilisierung von T-Lymphozyten kann nachgewiesen werden durch den Tuberkulinhauttest (Mantoux Test) oder einen Bluttest (Interferon gamma Assay). Ein positives Testergebnis gibt lediglich einen Hinweis, dass ein Kontakt mit Mykobakterien stattgefunden hat. Es sagt aber nichts aus über die Präsenz lebender Mykobakterien oder ob diese eliminiert wurden. Beide Tests sind ungeeignet, bei einem radiologisch oder klinisch verdächtigen Befund eine Tuberkuloseerkrankung zu bestätigen oder auszuschliessen. Die definitive Diagnose einer aktiven Tuberkuloseerkrankung erfordert die Isolation und den Nachweis der Erreger aus Sputum bei Patienten mit produktivem Husten oder aus Gewebeproben. Die Mikroskopie nach Spezialfärbung (Ziehl-Neelsen (> 184) (> 196), Fluorochrom) ist rasch und einfach. Die Sensitivität liegt aber nur bei etwa 50%. Mikroskopisch kann nicht zwischen Mycobacterium tuberculosis und atypischen Mykobakterien oder anderen säurefesten Stäbchen wie etwa Nocardia sp. (AIDS-Patienten!) unterschieden werden. Die PCR ermöglicht innert 48 Stunden den Nachweis von Mycobacterium tuberculosis. Sie erreicht bei mikroskopisch positiven Proben eine Empfindlichkeit von über 90% und bei mikroskopisch negativen ca. 60%. Die Spezifität liegt bei nahezu 100%. Die Anwendung der PCR in der Routine ist gerechtfertigt, wenn die rasche Unterscheidung zwischenTuberkulose und atypischer Mykobakteriose von vitaler Bedeutung ist, wenn aus epidemiologischen Gründen einem mikroskopisch positiven Resultat rasch ausgedehnte Umgebungsuntersuchungen folgen müssen und für extrapulmonale Proben, die wegen geringer Keimzahl meist mikroskopisch negativ sind. Bestätigt wird die Diagnose durch die Kultur. Diese dauert 2-8 Wochen und dient zusätzlich der Resistenzprüfung auf die Standardtuberkulostatika.

Therapie:
Behandelt wird mit gleichzeitiger Verabreichung von Tuberkulostatika in einer Viererkombination während zwei Monaten und einer Erhaltungstherapie mit einer Zweierkombination während weiterer vier Monate. Die tägliche Medikamenteneinnahme unter Verwendung fixer Kombinationstabletten sollte direkt überwacht werden. Die Wahl der Medikamente orientiert sich am Organbefall, der vorgesehenen Behandlungsdauer sowie an den Resultaten der Resistenzprüfung. Multiresistente (MDR) oder extrem resistente (XDR) Tuberkulosen (Osteuropa, Asien, Afrika) sind mit Reservemedikamenten und sehr viel längerer Behandlungsdauer bei uns heilbar.

update 30. August 2012
Morphologie
Morphologische Merkmale:
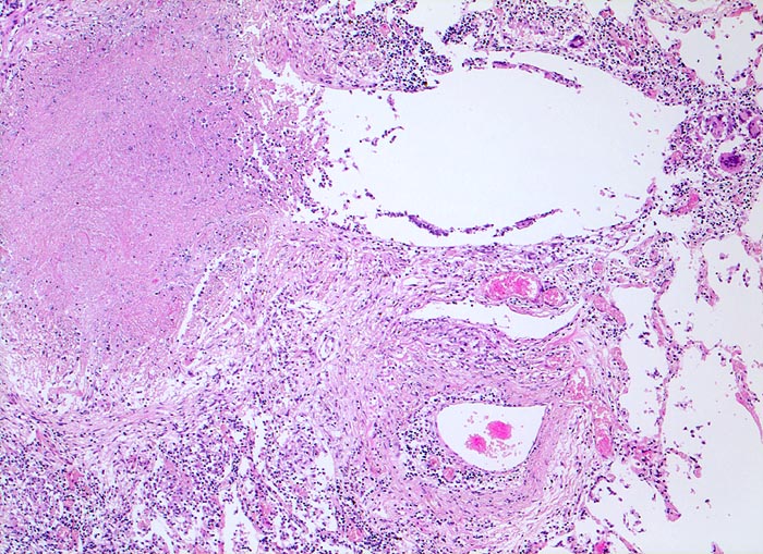
  • Tuberkulöse Herde ausgehend von vollständig oder partiell entzündlich zerstörten Bronchiolen in unmittelbarer Nachbarschaft von Arterien.
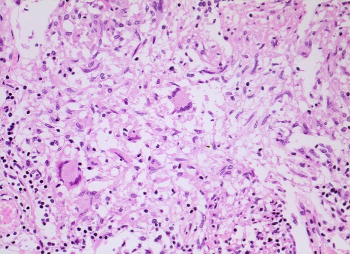
  • Granulome mit zentraler käsiger Nekrose mit Kerntrümmern umgeben von einem Epitheloidzellwall und einem äusseren blauen Saum von Lymphozyten.
  • Schlanke spindelige Epitheloidzellen und einzelne Riesenzellen vom Langhanstyp mit peripher hufeisenförmig angeordneten Kernen.
Das sollte der Kliniker dem Pathologen mitteilen:
  • Tuberkuloseverdacht (das Material ist infektiös!)
Praxis-Tipp:
  • Materialentnahme für die Bakteriologie vor Fixation.
  • Der klinische Verdacht auf eine Tuberkulose muss auf der Autopsieanmeldung vermerkt werden, damit für die Sektion entsprechende Sicherheitsvorkehrungen getroffen werden können.
Makroskopie
Befund
Pathologischer Befund
Normalbefund
Datum
Ersteintrag: 10.07.2019
Update: 10.07.2019