Wichtiger Sicherheitshinweis: Pathorama wurde zwischen dem 26. und 27. Dezember 2025 angegriffen. Falls Sie die Website in diesem Zeitraum besucht haben, lesen Sie bitte die wichtigen Informationen hier:
Zur Information

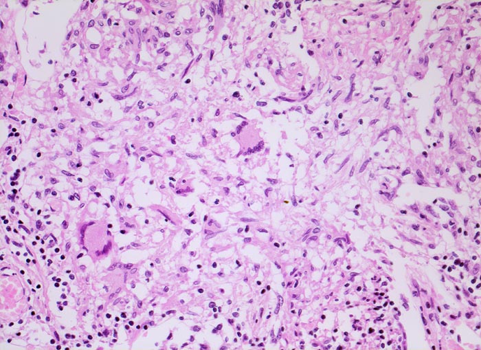
PathoPic – image database / PathoPic ID 4834 - Tuberkulosegranulom

de
Diagnose
Tuberkulosegranulom
Diagnose Gruppe
Entzündung infektiös
Topographie
Lunge
Topographie Gruppe
Lunge, Mediastinum mit Thymus
Beschreibung
Schlanke spindelige Epitheloidzellen und einzelne Riesenzellen vom Langhanstyp mit peripher hufeisenförmig angeordneten Kernen. Am Rand kleine Lymphozyten.
Zusatzbefund
Autoptisch wird ein akuter Myokardinfarkt der Vorderwand diagnostiziert. In beiden Lungen fallen oberlappenbetonte knotige weisse, teils kleeblattartige Infiltrate auf und eine subapikal gelegene kleine Kaverne. Einzelne hiläre Lymphknoten der rechten Seite weisen Verkalkungen auf und bilden zusammen mit einem subpleural im Mittellappen gelegenen verkalkten Herd den abgeheilten Primärkomplex. In den käsigen Nekrosen können vereinzelte säurefeste Stäbchen nachgewiesen werden.
Klinik
Patient mit insulinpflichtigem Diabetes mellitus. Hospitalisation zur Behandlung einer PAVK. Während der Hospitalisation verstirbt der Patient an den Folgen eines Myokardinfarkts. Aufgrund der Autopsiediagnose wird eine Umgebungsuntersuchung eingeleitet.
Kommentar
Die Epitheloidzellen in einem Tuberkulosegranulom sind in der Regel schlank. Die Epitheloidzelle des Sarkoidosegranuloms haben mehr Zytoplasma und plumpere Kerne. Verkäsende Nekrosen kommen allerdings auch bei Sarkoidosegranulomen vor. Vrgl. PathoPic ID 4042
Bilder Typ
Histologie
Vergrösserung
200
Alter
79
Geschlecht
männlich
Datum
Ersteintrag: 05.05.2002