Wichtiger Sicherheitshinweis:
Pathorama wurde zwischen dem
26. und 27. Dezember 2025
angegriffen. Falls Sie die Website in diesem Zeitraum besucht haben, lesen Sie bitte die wichtigen Informationen hier:
Zur Information
Pathopic
HiPaKu
ZyPaKu
Projektinfos
PathoPic - Projekt- und Copyright-Info
About
Pathopic
HiPaKu
ZyPaKu
PathoPic – image database
/
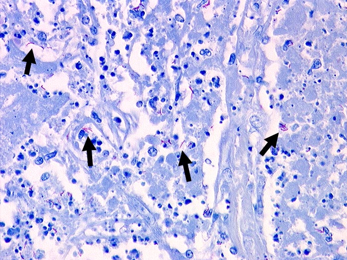
PathoPic ID 196 - Tuberkulose des Endometriums
de
Diagnose
Tuberkulose des Endometriums
Diagnose Gruppe
Entzündung infektiös
Topographie
Uterus
Topographie Gruppe
Genitalorgane, weiblich
Beschreibung
Krümelige Nekrose mit Kerntrümmern. Einzelne
►
säurefeste Stäbchen entsprechen Mykobakterien.
Klinik
Urogenitale Tuberkulose mit Befall des Endometriums, des Ovars und des Douglasperitoneums.
Bilder Typ
Histologie
Vergrösserung
630
Alter
75
Geschlecht
unbekannt
Datum
Ersteintrag: 30.10.2001
Update: 10.08.2010
CPS
·
©
2025 Institut für Pathologie Basel
/
Dr. med. Katharina Glatz-Krieger
.
·
v2.2