Wichtiger Sicherheitshinweis:
Pathorama wurde zwischen dem
26. und 27. Dezember 2025
angegriffen. Falls Sie die Website in diesem Zeitraum besucht haben, lesen Sie bitte die wichtigen Informationen hier:
Zur Information
Pathopic
HiPaKu
ZyPaKu
Projektinfos
PathoPic - Projekt- und Copyright-Info
About
Pathopic
HiPaKu
ZyPaKu
PathoPic – image database
/
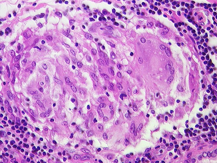
PathoPic ID 706 - Sarkoidosegranulom
de
Diagnose
Sarkoidosegranulom
Diagnose Gruppe
Entzündung / Reparatur
Topographie
Lymphknoten, Lunge
Topographie Gruppe
Lymphatische Gewebe, KM, Milz
Beschreibung
Granulom aus Epitheloidzellen und einer Riesenzelle ohne Nekrosen.
Zusatzbefund
Granulome in Lungen, Bronchialschleimhaut, Leber, Milz und Lymphknoten pulmonal
Bilder Typ
Histologie
Alter
56
Geschlecht
unbekannt
Datum
Ersteintrag: 16.11.2001
CPS
·
©
2025 Institut für Pathologie Basel
/
Dr. med. Katharina Glatz-Krieger
.
·
v2.2