Wichtiger Sicherheitshinweis: Pathorama wurde zwischen dem 26. und 27. Dezember 2025 angegriffen. Falls Sie die Website in diesem Zeitraum besucht haben, lesen Sie bitte die wichtigen Informationen hier:
Zur Information

Basel 2BA/ Koronarsklerose mit Thrombose

Diagnose
Koronarsklerose mit Thrombose
Diagnose Gruppe
vaskulär / Durchblutungsstörung
Differenzialdiagnose
Topographie Gruppe
Kardiovaskuläres System
Topographie
Arteria coronaris
Einleitung
Aetiologie:
Der grösste Teil der Koronarthrombosen entsteht auf dem Boden von Rupturen von atherosklerotischen Plaques. Plaquerupturen sind für etwa 60% der Koronarthromben verantwortlich, die autoptisch bei akutem Myokardinfarkt oder plötzlichem Herztod gefunden werden. Bei jüngeren Patienten führen Plaquerupturen zu 35% der tödlichen Koronarthromben. Warum die fibröse Deckplatte eines atherosklerotischen Herdes einreisst, ist nicht in allen Einzelheiten geklärt. Es wird vermutet, dass Einblutungen und/oder ein hoher Gehalt an Entzündungsinfiltrate (Makrophagen und T-Zellen) zur Erweichung der Deckplatte führen können und dass der Konsistenzunterschied von weichem Atherombrei und steifer Deckplatte eine Ruptur fördert. Bei 5% der akuten Thromben führt die Ruptur der Deckplatte durch einen daruntergelegenen Verkalkungsherd zu einer nicht okklusiven Thrombose. Dieser Mechanismus betrifft meist ältere Patienten.

Morphologie:
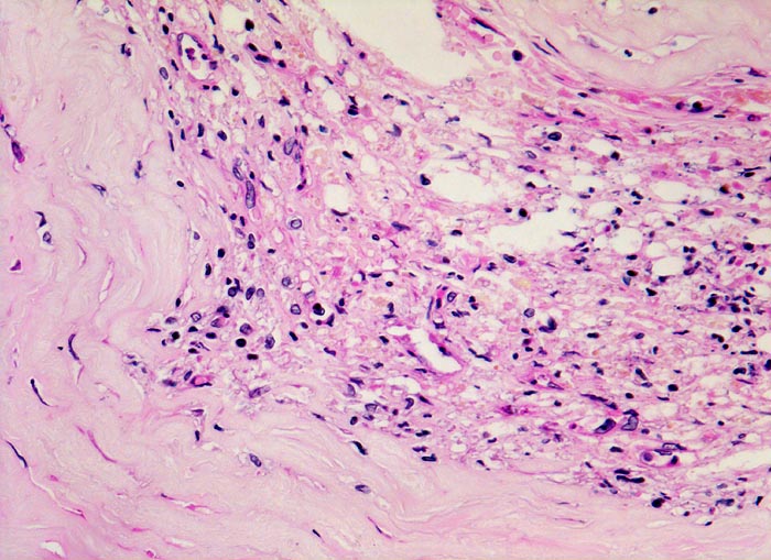
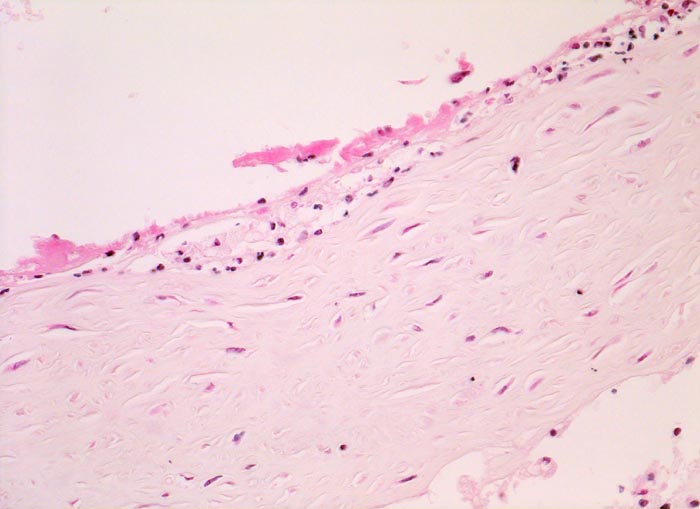
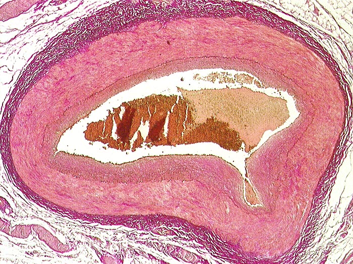
Makroskopisch sind Thromben am besten auf Querschnitten in 3 bis 5mm Abständen durch die Koronargefässe darstellbar. Thromben, die zum Tod des Patienten geführt haben, erkennt man meist makroskopisch. Mikroskopisch findet sich ein Kontinuitätsunterbruch in einer entzündlich veränderten fibrösen Deckplatte über einem Atherom. Dadurch gerät der lipidreiche Kern des Atheroms in Kontakt mit dem luminalen Blutstrom und dies führt zur Ausbildung eines Plättchen-Fibrin Thrombus und zur Einblutung in das Atherom. Meist zeigt der Thrombus Zeichen der beginnenden Organisation. Histologisch ist bei einer Ruptur die denudierte Endotheloberfläche von einem luminalen Thrombus bedeckt.

Verlauf:
Der Thrombus kann klein und nicht-okklusiv (> 133) (> 99) sein oder das Lumen vollständig verschliessen. Beide Formen können zum plötzlichen Herztod führen. Teile des Thrombus können sich lösen und zur Mikroembolisation in intramyokardiale Arterien führen. Detaillierte Untersuchungen der Koronararterien von Patienten mit schwerer Koronarsklerose zeigen häufig Fissuren und kleine Rupturen verschiedenen Alters. Wiederholte subklinische Plaquerupturen führen zur Plaqueprogression. Verheilte Plaquerupturen sind meist stabil.

Anmerkung:
Da ischämische Myokardveränderungen morphologisch nicht sofort nachweisbar sind, ist der Nachweis einer Koronarthrombose auch bei fehlenden Myokardnekrosen ein starker Hinweis auf eine Myokardischämie als Todesursache. Allerdings finden sich lediglich bei 40% der plötzlichen Herztodesfälle frische Thromben. Bei Patienten mit klinisch diagnostiziertem akutem Myokardinfarkt können bei bis zu 98% autoptisch Koronarthromben nachgewiesen werden, deutlich seltener bei instabiler Angina pectoris. Die Wahrscheinlichkeit, dass eine akute Thrombose nachgewiesen werden kann, ist grösser, wenn der Patient vor seinem Tod Brustschmerzen hatte.
Klinik
Vorkommen:
Erkrankungen der Koronararterien sind für etwa drei Viertel der plötzlichen Herztodesfälle bei über 40 jährigen Patienten verantwortlich. Bei älteren Patienten mit arterieller Hypertonie und Herzhypertrophie sind letale ventrikuläre Arrhythmien und plötzlicher Herztod häufiger auf Vernarbungen des Myokards als auf Koronarthrombosen zurückführbar.

Risikofaktoren:
Es gibt eine enge Assoziation zwischen akuten und verheilten Plaquerupturen und einer Hypercholesterinämie.

Symptomatik:
Nicht alle Plaquerupturen resultieren in einer klinischen Symptomatik oder in einer Myokardnekrose.

Diagnostik und Therapie:
Die erste Priorität bei Patienten mit akuten Brustschmerzen haben die rasche Diagnosestellung und Risikostratifizierung (siehe zweiter Literaturlink), die Schmerzbehandlung und die Erfassung und Therapie von Rhythmusstörungen. Bei vermuteter oder gesicherter Diagnose eines akuten Koronarsyndroms (instabile Angina pectoris und Myokardinfarkt) sollte eine sofortige Hospitalisation auf einer Intensivpflegestation erfolgen. Therapeutisch im Vordergrund steht eine frühe Reperfusionstherapie mit dem Ziel der Wiedereröffnung des thrombosierten Gefässes.

Prognose:
Die Prognose des akuten Myokardinfarkts mit ST-Streckenhebung ist nach wie vor ernst. In den ersten vier Wochen nach Infarkt versterben 30-50% der Patienten, die Hälfte davon an plötzlichem Herztod in den ersten zwei Stunden nach Symptombeginn.
Morphologie
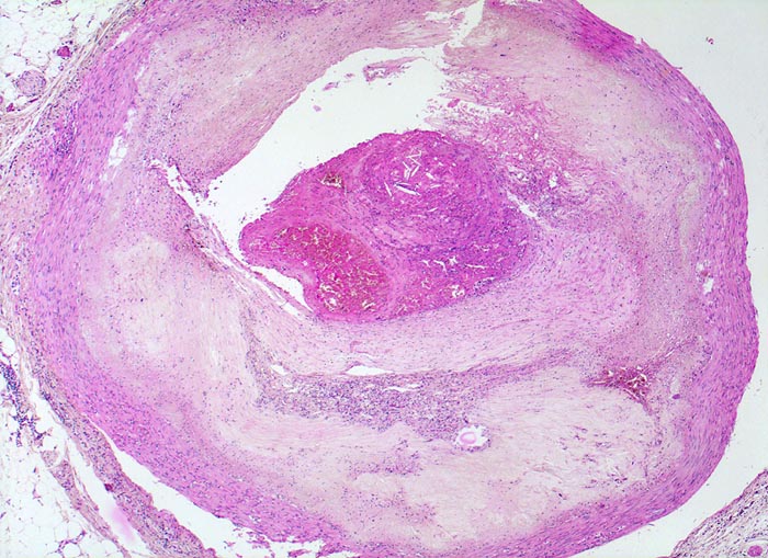
Morphologische Merkmale:
  • Atherom mit fibröser Deckplatte.
  • Exzentrische Lumeneinengung durch Verdickung der Intima.
  • Organisierender geschichteter Abscheidungsthrombus über Defekt in der fibrösen Deckplatte. Der Thrombus enthält zusätzlich Atherombestandteile (Cholesterinkristalle und nekrotischer Detritus).
Das sollte der Kliniker dem Pathologen mitteilen:
  • Angina pectoris.
  • Myokardinfarkt (wann?).
  • Rhythmusstörungen.
  • plötzlicher Herztod.
  • Risikofaktoren für Atherosklerose.
Makroskopie
Befund
Pathologischer Befund
Normalbefund
Datum
Ersteintrag: 10.07.2019
Update: 10.07.2019