Wichtiger Sicherheitshinweis:
Pathorama wurde zwischen dem
26. und 27. Dezember 2025
angegriffen. Falls Sie die Website in diesem Zeitraum besucht haben, lesen Sie bitte die wichtigen Informationen hier:
Zur Information
Pathopic
HiPaKu
ZyPaKu
Projektinfos
PathoPic - Projekt- und Copyright-Info
About
Pathopic
HiPaKu
ZyPaKu
PathoPic – image database
/
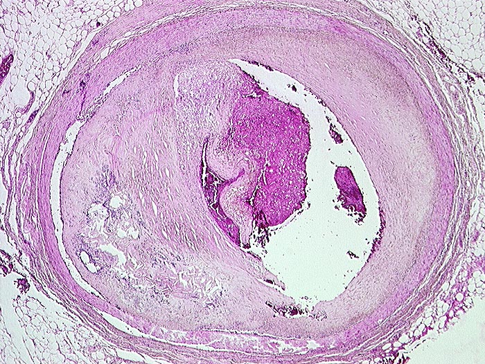
PathoPic ID 99 - frischer Deckplattenaufbruch
de
Diagnose
frischer Deckplattenaufbruch
Diagnose Gruppe
vaskulär / Durchblutungsstörung
Topographie
Arteria coronaris
Topographie Gruppe
Kardiovaskuläres System
Beschreibung
Auf der abgerissenen Deckplatte hat sich eine kleine Thrombose gebildet
Klinik
Transmuraler akuter Myokardinfarkt bei Deckplattenaufbruch des RIVA mit Thrombose.
Diabetes mellitus Typ II.
Adipositas.
Bilder Typ
Histologie
Alter
77
Geschlecht
unbekannt
Datum
Ersteintrag: 24.10.2001
CPS
·
©
2025 Institut für Pathologie Basel
/
Dr. med. Katharina Glatz-Krieger
.
·
v2.2