Wichtiger Sicherheitshinweis: Pathorama wurde zwischen dem 26. und 27. Dezember 2025 angegriffen. Falls Sie die Website in diesem Zeitraum besucht haben, lesen Sie bitte die wichtigen Informationen hier:
Zur Information

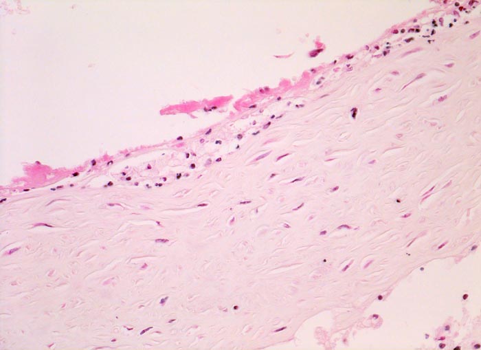
PathoPic – image database / PathoPic ID 4554 - Koronarsklerose mit Thrombose: Intima

de
Diagnose
Koronarsklerose mit Thrombose: Intima
Diagnose Gruppe
vaskulär / Durchblutungsstörung
Topographie
Arteria coronaris
Topographie Gruppe
Kardiovaskuläres System
Beschreibung
Lumennah Intima zellreicher: Hier zahlreiche Zellen mit spindelförmigen Kernen ( Myofibroblasten). Dem Endothel ist wenig Fibrin aufgelagert. Unmittelbar subendothelial kleine Gruppen von Schaumzellen und Entzündungszellen.
Klinik
Subakuter transmuraler Myokardinfarkt. In der Anamnese Nikotinabusus und schlecht eingestellte arterielle Hypertonie.
Bilder Typ
Histologie
Vergrösserung
200
Alter
72
Geschlecht
unbekannt
Datum
Ersteintrag: 15.04.2002