Wichtiger Sicherheitshinweis: Pathorama wurde zwischen dem 26. und 27. Dezember 2025 angegriffen. Falls Sie die Website in diesem Zeitraum besucht haben, lesen Sie bitte die wichtigen Informationen hier:
Zur Information

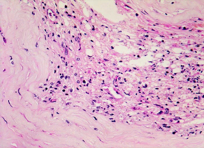
PathoPic – image database / PathoPic ID 4552 - Koronarsklerose: Atherom

de
Diagnose
Koronarsklerose: Atherom
Diagnose Gruppe
vaskulär / Durchblutungsstörung
Topographie
Arteria coronaris
Topographie Gruppe
Kardiovaskuläres System
Beschreibung
Ausschnitt aus der sklerosierten Intima mit Atherom: Herd von Granulationsgewebe mit Kapillaren und lockerem Infiltrat von Lymphozyten, Histiozyten und lipidbeladenen Schaumzellen.
Klinik
Subakuter transmuraler Myokardinfarkt. In der Anamnese Nikotinabusus und schlecht eingestellte arterielle Hypertonie.
Bilder Typ
Histologie
Vergrösserung
320
Alter
72
Geschlecht
unbekannt
Datum
Ersteintrag: 21.10.2002