Wichtiger Sicherheitshinweis: Pathorama wurde zwischen dem 26. und 27. Dezember 2025 angegriffen. Falls Sie die Website in diesem Zeitraum besucht haben, lesen Sie bitte die wichtigen Informationen hier:
Zur Information

Staats/ Polyarteriitis nodosa Makroform

Diagnose
Polyarteriitis nodosa Makroform
Diagnose Gruppe
Systemerkrankung/Immunpathologie
Topographie Gruppe
Niere, Harnwege
Topographie
Niere
Einleitung
Synonym:
Panarteriitis nodosa Makroform, PAN
Definition der PAN:
Nekrotisierende Entzündung mittelgrosser und kleiner Arterien ohne Glomerulonephritis und ohne Vaskulitis in Arteriolen, Kapillaren oder Venolen. Keine Assoziation mit antinukleären Antikörpern (ANCA). Kein mukokutanes Lymphknotensyndrom. Die Polyarteritis nodosa kann primär systemisch oder als isolierte Organvaskulitis auftreten (in Haut, Gallenblase, Appendix, Darm, Mamma, Hoden oder Uterus).
Histomorphologische Definition einer Vaskulitis:
Aktive Vaskulitis: Infiltration und/oder Destruktion der Gefässwand durch ein Entzündungsinfiltrat. Intraluminale Fibrinthromben oder intramurale Fibrinablagerungen (fibrinoide Nekrose).
Abgeheilte Vaskulitis: Segmentaler oder kompletter Verlust der elastischen Fasern in mittleren und grossen Gefässen assoziiert mit zellarmer Vernarbung der Gefässwand.
Revidierte internationale Chapel Hill-Nomenklatur der Vaskulitiden 2012:
  • Grossgefässvaskulitiden: Takayasu Arteritis, Riesenzellarteritis
  • Vaskulitis mittelgrosser Gefässe: Polyarteriitis nodosa, Kawasaki Syndrom
  • Kleingefässvaskulitiden: ANCA assoziierte Vaskulitiden und Immunkomplex Kleingefässvaskulitiden
  • Variable Gefässe: Morbus Behcet, Cogan's Syndrom
  • Einzelorganvaskulitis: Vaskulitis in Arterien oder Venen jeder Grösse in einem einzelnen Organ ohne Hinweise auf eine limitierte Form einer systemischen Vaskulitis z.B. kutane leukozytoklastische Vaskulitis, isolierte Aortitis u.a.
  • Vaskulitis assoziiert mit Systemerkrankungen: Lupusvaskulitis, Rheumatoide Vaskulitis, Vaskulitis bei Sarkoidose u.a.
  • Vaskulitis assoziiert mit wahrscheinlicher Ätiologie: HCV assoziierte kryoglobulinämische Vaskulitis, HBV assoziierte Vaskulitis, Syphilitische Aortitis, Medikamentenassoziierte Immunkomplexvaskulitis, Malignom assoziierte Vaskulitis u.a.

Die ANCA assoziierten Vaskulitiden umfassen die mikroskopische Polyangiitis, die Granulomatose mit Polyangiitis (Morbus Wegener) und die eosinophile Granulomatose mit Polyangiitis (Churg-Strauss Syndrom).
Grosse Arterien umfasssen die Aorta und ihre Äste und entsprechende Venen, welche ganze Körperregionen versorgen (Kopf-, Hals-, und Extremitätenarterien). Mittelgrosse Gefässe entsprechen den organversorgenden Gefässen und deren initialen Verzweigungen (A. renalis, A. hepatica, Mesenterialarterien, Koronararterien…) und kleine Gefässe allen Gefässen distal der mittelgrossen Gefässe inklusive Arteriolen, Kapillaren und Venolen. Kleine Gewebsbiopsien enthalten entsprechend meist ausschliesslich kleine Gefässe.
Grossgefässvaskulitiden, Vaskulitiden mittelgrosser Gefässe und Kleingefässvaskulitiden können prinzipiell alle Gefässkaliber befallen. Grossgefässvaskulitiden befallen aber prädominant grosse Gefässe und die PAN befällt prädominant mittelgrosse Arterien. ANCA-assoziierte Kleingefässvaskulitiden können seltenerweise auch mittelgrosse Arterien oder Venen betreffen.
Sekundäre vaskulitische Veränderungen können vorkommen in Gefässen unmittelbar angrenzend an ein Ulkus oder eine Gewebsnekrose. Diese sind entsprechend lokal begrenzt.
Aetiologie der PAN:
Ätiopathogenetisch wird bei der PAN eine immunmediierte nekrotisierende Vaskulitis angenommen. Als Auslöser kommen Antigene von Hepatitis B- und C-Viren, Streptokokken, Autoimmunerkrankungen, Tumoren und Kryoglobuline in Betracht.

Lokalisation der PAN:
Es handelt sich um eine systemische nekrotisierende Vaskulitis mit Befall mittelgrosser und kleiner Arterien meist ohne Befall von Arteriolen, Kapillaren (Glomerula!) und Venolen. Der Nierenbefall ist Teilaspekt einer Systemkrankheit mit bevorzugtem Befall von Niere, Herz, Leber, Magen-Darmtrakt und Muskulatur.

Morphologie der PAN:
In den beteiligten Organen sind nicht alle Arterien pathologisch verändert und oft ist die Gefässwand nicht zirkulär sondern nur segmental betroffen und die Gefässveränderungen befinden sich in unterschiedlichen Stadien. Folgen der Gefässveränderungen sind Infarkte und Mikroaneurysmata. Die Nieren sind im akuten Stadium oft vergrössert. An der Oberfläche sind Petechien neben unterschiedlich grossen Infarkten erkennbar. Gelegentlich erkennt man auf der Schnittfläche Gefässaneurysmata, thrombosierte Arterien und Papillennekrosen. Im häufigeren chronischen Stadium sind die Nieren verkleinert und aufgrund von Infarktnarben grob gebuckelt. Befallen sind prärenale und grössere intrarenale Nierenarterienäste bei meist fehlender Beteiligung der Arteriolen und definitionsgemäss fehlendem Befall der glomerulären Kapillaren. Die betroffenen Gefässe zeigen segmentale transmurale oft durch Thrombosierung komplizierte Wandnekrosen mit initial granulozytenreichem Infiltrat. Im Verlauf werden die Nekrosen durch Granulations- und Narbengewebe organisiert. An grossen Arterien kann dies zu Knotenbildungen und Aneurysmata führen. Oft findet man in ein und demselben Gefäss frische Nekrosen neben reparativen Veränderungen und Narben. Das übrige Nierengewebe zeigt als Folge der Vaskulitis Kollapsglomerula, Infarkte und ischämische Tubulusatrophie mit begleitender interstitieller Fibrose und Entzündung.
update 30. Juni 2014
Klinik
Vorkommen:
Die Prävalenz primär systemischer Vaskulitiden ohne die (häufigste) Riesenzellarteritis liegt bei 20:100'000 Einwohner.

Symptomatik der PAN:
Die PAN geht in vielen Fällen mit einer uncharakteristischen Prodromalphase mit rheumatischen Beschwerden und Bauchschmerzen einher. Der Befall von mittelgrossen Arterien führt zu Infarkten in Hirn, Herz und Nieren (Makrohämaturie), Darm (Melaena) und Extremitäten. Blutungen erfolgen bei Ruptur aus Mikroaneurysmata. Jugendliches Alter und fehlende Risikofaktoren bei einer Enzephalomalazie oder einem Myokardinfarkt können Hinweise auf das Vorliegene einer Vaskulitis sein.

Diagnostik der PAN:
Die Diagnose der PAN kann gestellt werden, wenn mindestens 3 der folgenden 10 Kriterien erfüllt sind (American College of Rheumatology 1990):
  • Gewichtsverlust mehr als 4 kg, der nicht auf andere Ursachen zurückgeführt werden kann
  • Livedo reticularis
  • Schmerzen oder Druckempfindlichkeit der Hoden, die nicht auf andere Ursachen zurückgeführt werden können
  • Schwäche und Muskelschmerzen
  • Mono- oder Polyneuropathie
  • Hypertonie
  • Erhöhung des Serum-Kreatinins oder des Serum-Harnstoffs
  • Nachweis einer Hepatitis B oder Hepatitis C Infektion
  • angiographische Auffälligkeiten
  • passender histopathologischer Befund



Biopsie bei Vaskulitis:
Bei primär systemischer Vaskulitis sollte immer eine histologische Sicherung der klinischen Diagnose angestrebt werden. Biopsien sollten aber nur aus pathologisch verändertem Gewebe entnommen werden (z.B. Magnetresonanztomographie des Muskels zur Wahl des Biopsieortes). Blinde Biopsien haben eine Trefferquote von <30%. Da die morphologischen Befunde verschiedener Vaskulitiden sich überschneiden oder sogar identisch sein können, lässt sich anhand des histopathologischen Befundes lediglich die Diagnose einer nekrotisierenden Vaskulitis stellen mit Hinweis auf die betroffenen Gefässtypen. Für die genaue Klassifikation der Vaskulitis ist die Korrelation mit klinischen Symptomen, radiologischen und laborchemischen Befunden und das Wissen um allfällige zusätzlich vorhandene Begleiterkrankungen unabdingbar.

Differentialdiagnose der PAN:
Die sehr seltene PAN muss von den häufigeren ANCA- oder Immunkomplex-assoziierten Kleingefässvaskulitiden abgegrenzt werden. Eine rapid progressive Glomerulonephritis oder Lungenblutungen sprechen für eine Kleingefässvaskulitis. Laborchemisch gibt es keinen pathognomonischen Befund. Eine positive ANCA Serologie findet sich bei gegen 90% der Fälle mit mikroskopischer Polyangiitis (bevorzugt p-ANCA) und ist bei PAN per Definition negativ. Ein positiver ANCA-Titer ist aber kein Beweis für eine Vaskulitis!
Morphologisch gleichartige Gefässveränderungen wie bei der PAN können lokalisiert in der Haut oder als Zufallsbefund im Genitaltrakt vorkommen (=isolierte Organvaskulitis). Ein Befall von Gefässen anderer Organe (=systemische Vaskulitis) lässt sich in diesen Fällen nicht nachweisen und die Erkrankung zeigt einen gutartigen Verlauf. Die Diagnose einer isolierten Organvaskulitis vom Typ der PAN kann nur nach klinischem Ausschluss einer systemischen Vaskulitis gestellt werden.
Idealerweise sollten Patienten mit einer systemischen Vaskulitis interdisziplinär besprochen werden, um das bestmögliche diagnostische und therapeutische Prozedere festlegen zu können.

Prognose der PAN:
Ohne Therapie ist die Prognose der PAN schlecht mit einer 5 Jahres Überlebensrate von weniger als 20%. Unter immunsuppressiver Therapie hat sich die Prognose entscheidend verbessert. Die isolierte Organvaskulitis vom Typ der PAN verläuft ohne weitere Therapie selbstlimitiert.
update 9. September 2013
Normalbefund
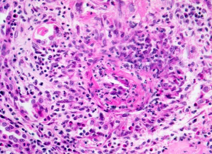
Morphologie
Morphologische Merkmale:
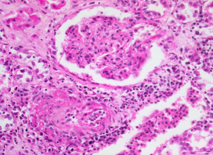
  • Unauffällige Glomerula.
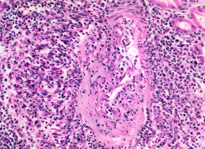
  • Grössere intrarenale Arterien mit teils zirkulären, teils segmentalen, transmuralen fibrinoiden Gefässwandnekrosen und gemischtem transmuralem Entzündungsinfiltrat.
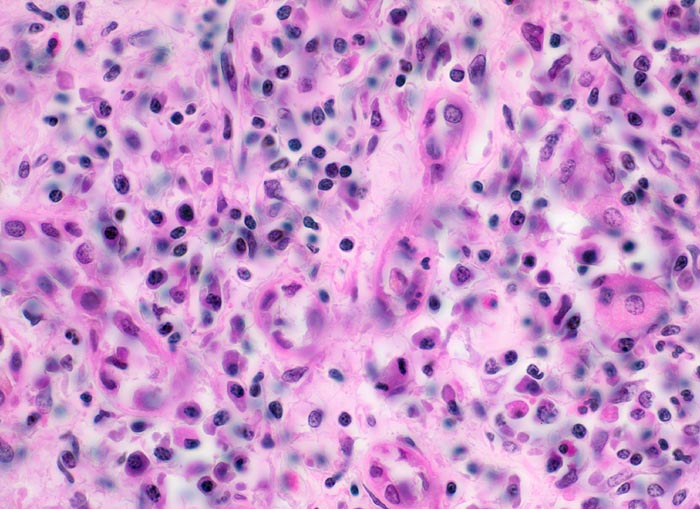
  • Gefässveränderungen unterschiedlichen Alters (frische Nekrosen, Granulationsgewebsbildung, Narben).
  • Frische Tubulusnekrosen (abgeblasste Kerne) im Versorgungsbereich der entzündeten Arterien.
Das sollte der Kliniker dem Pathologen mitteilen:
  • Hypertonie.
  • Extrarenale Manifestationen.
  • Grunderkrankungen wie Autoimmunerkrankung, Infekt, Neoplasie, Intoxikation.
  • Medikamente.
  • Serologie.
Praxis-Tipp:
  • Zur genauen Klassifikation der Vaskulitis sollten Kliniker und Pathologe telefonischen Kontakt aufnehmen.
  • Bei Verdacht auf Vaskulitis immer ANCA bestimmen.
Makroskopie
Befund
Pathologischer Befund
Normalbefund
Datum
Ersteintrag: 14.03.2019
Update: 14.03.2019