Wichtiger Sicherheitshinweis: Pathorama wurde zwischen dem 26. und 27. Dezember 2025 angegriffen. Falls Sie die Website in diesem Zeitraum besucht haben, lesen Sie bitte die wichtigen Informationen hier:
Zur Information

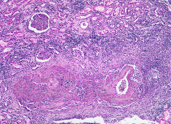
PathoPic – image database / PathoPic ID 4248 - Polyarteritis nodosa Makroform

de
Diagnose
Polyarteritis nodosa Makroform
Diagnose Gruppe
Systemerkrankung/Immunpathologie
Topographie
Niere
Topographie Gruppe
Niere, Harnwege
Beschreibung
Unten im Bild eine grössere Arterie mit einer praktisch die ganze Zirkumferenz erfassenden Gefässwandnekrose. Kappenartig der Nekrose aufsitzende Entzündungsinfiltrate. Im tubulo-interstitiellen Raum sind fokale lymphohistio-plasmozytäre Infiltrate vorhanden. Geringe interstitielle Fibrose.
Zusatzbefund
Makroskopischer Befund der Nieren: Vergrösserte Nieren mit Petechien und mehreren frischen, teils hämorrhagischen Infarkten.
Klinik
Seit einigen Wochen Fieber unklarer Ätiologie, Gewichtsverlust und Anämie. Im Rahmen der Abklärungen erstmals festgestellte arterielle Hypertonie. Der Patient verstirbt an einem Myokardinfarkt.
Bilder Typ
Histologie
Vergrösserung
50
Alter
64
Geschlecht
unbekannt
Datum
Ersteintrag: 02.07.2002