Wichtiger Sicherheitshinweis: Pathorama wurde zwischen dem 26. und 27. Dezember 2025 angegriffen. Falls Sie die Website in diesem Zeitraum besucht haben, lesen Sie bitte die wichtigen Informationen hier:
Zur Information

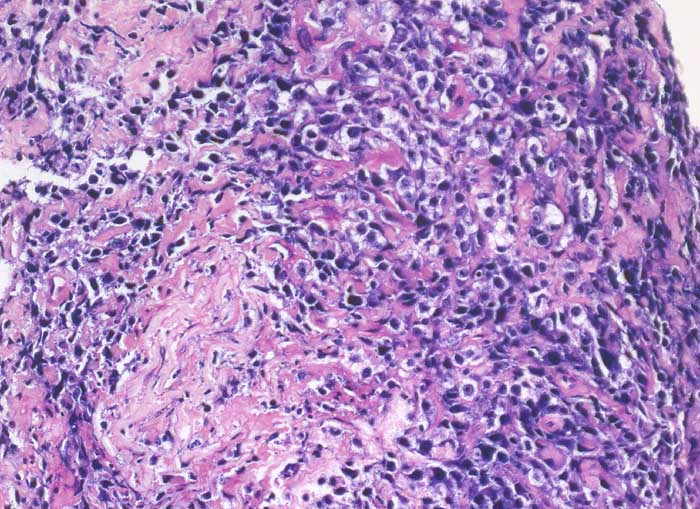
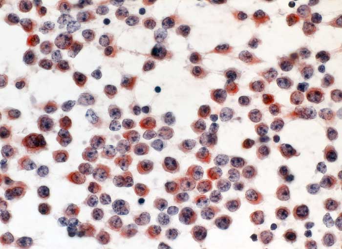
pit/ Diffuses grosszelliges B-Zell Lymphom

Diagnose
Diffuses grosszelliges B-Zell Lymphom
Diagnose Gruppe
maligner Tumor
Differenzialdiagnose
Topographie Gruppe
Niere, Harnwege
Topographie
Urin
Einleitung
Diffuse grosszellige B-Zell Lymphome treten nicht selten in extranodalen Lokalisationen auf und können klinisch als Karzinom fehlgedeutet werden. Bei ungewöhnlicher Zytomorphologie eines malignen Tumors sollte deshalb immer auch an die Möglichkeit eines nicht epithelialen Tumors gedacht und der Befund mittels Immunzytochemie weiter abgeklärt werden. Zur Unterscheidung eines Lymphoms von einem epithelialen Tumor eignen sich der panleukozytäre Marker CD45 (LCA) und ein Panzytokeratinmarker oder BerEP4.
Beim ersten Fall handelt es sich um ein primär extranodales Lymphom des Nierenbeckens, das im Urin diagnostiziert wurde. Beim zweiten Fall handelt es sich um ein primär extranodales Lymphom im Bereich der Nebenniere mit Nachweis von Lymphomzellen im Aszites.
Klinik
-
Normalbefund
Morphologie
Makroskopie
Virtuelles Präparat
Befund
Pathologischer Befund
Normalbefund
Literatur
Datum
Ersteintrag: 13.04.2003
Update: 13.04.2003