Wichtiger Sicherheitshinweis:
Pathorama wurde zwischen dem
26. und 27. Dezember 2025
angegriffen. Falls Sie die Website in diesem Zeitraum besucht haben, lesen Sie bitte die wichtigen Informationen hier:
Zur Information
Pathopic
HiPaKu
ZyPaKu
Projektinfos
PathoPic - Projekt- und Copyright-Info
About
Pathopic
HiPaKu
ZyPaKu
PathoPic – image database
/
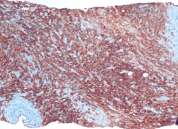
PathoPic ID 6394 - diffuses grosszelliges B-Zelllymphom
de
Diagnose
diffuses grosszelliges B-Zelllymphom
Diagnose Gruppe
maligner Tumor
Topographie
Nierenbecken
Topographie Gruppe
Niere, Harnwege
Beschreibung
Nierenhilusweichteile: die Tumorzellen reagieren membranär positiv mit dem B-Zell Marker CD20.
Klinik
Nieren-Tumor rechts. DD: Urothel-Ca.
Bilder Typ
Histologie
Immunhistochemie
CD20 (L26)
Vergrösserung
100
Alter
66
Geschlecht
unbekannt
Datum
Ersteintrag: 11.02.2003
Update: 28.03.2003
CPS
·
©
2025 Institut für Pathologie Basel
/
Dr. med. Katharina Glatz-Krieger
.
·
v2.2