Wichtiger Sicherheitshinweis: Pathorama wurde zwischen dem 26. und 27. Dezember 2025 angegriffen. Falls Sie die Website in diesem Zeitraum besucht haben, lesen Sie bitte die wichtigen Informationen hier:
Zur Information

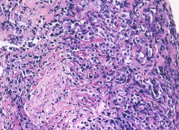
PathoPic – image database / PathoPic ID 6393 - diffuses grosszelliges B-Zelllymphom

de
Diagnose
diffuses grosszelliges B-Zelllymphom
Diagnose Gruppe
maligner Tumor
Topographie
Nierenbecken
Topographie Gruppe
Niere, Harnwege
Beschreibung
Nierenhilusweichteile: diffuse Infiltrate atypischer lymphoider Zellelemente mit klarem Zytoplasmasaum.
Zusatzbefund
Immunphänotypisch sind die Tumorzellen positiv für den Pan-B-Zell-Marker CD20 und fokal positiv für CD10. Daneben reaktive CD3 und CD5 positive T-Zellen. Negativ sind Antikörper gegen Zytokeratine sowie gegen Nierenzell-assoziierte Antigene. Die Prolfierationsrate ist hoch, stellenweise über 80%.
Klinik
Nieren-Tumor rechts. DD: Urothel-Ca.
Bilder Typ
Histologie
Vergrösserung
200
Alter
66
Geschlecht
unbekannt
Datum
Ersteintrag: 11.02.2003
Update: 28.03.2003