Wichtiger Sicherheitshinweis: Pathorama wurde zwischen dem 26. und 27. Dezember 2025 angegriffen. Falls Sie die Website in diesem Zeitraum besucht haben, lesen Sie bitte die wichtigen Informationen hier:
Zur Information

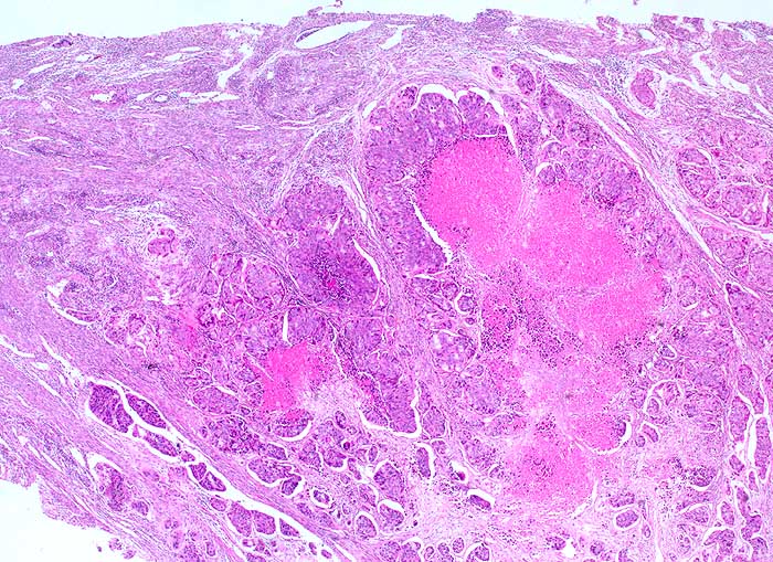
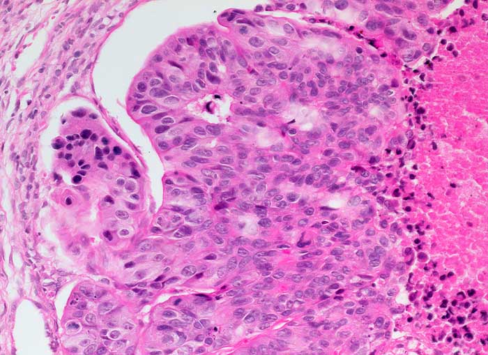
pit/ Zervixmetastase eines Kolonkarzinoms

Diagnose
Zervixmetastase eines Kolonkarzinoms
Diagnose Gruppe
maligner Tumor
Differenzialdiagnose
Topographie Gruppe
Mamma
Topographie
Zervix
Einleitung
Eine für die Lokalisation atypische Morphologie eines Tumors sollte immer an die Möglichkeit einer Metastase denken lassen. Im Zweifelsfall lohnen sich eine Rückfrage beim Kliniker und das Studium aller Vorbefunde.
Klinik
-
Normalbefund
Morphologie
Makroskopie
Virtuelles Präparat
Befund
Pathologischer Befund
Normalbefund
Literatur
Datum
Ersteintrag: 13.04.2003
Update: 13.04.2003