Wichtiger Sicherheitshinweis:
Pathorama wurde zwischen dem
26. und 27. Dezember 2025
angegriffen. Falls Sie die Website in diesem Zeitraum besucht haben, lesen Sie bitte die wichtigen Informationen hier:
Zur Information
Pathopic
HiPaKu
ZyPaKu
Projektinfos
PathoPic - Projekt- und Copyright-Info
About
Pathopic
HiPaKu
ZyPaKu
PathoPic – image database
/
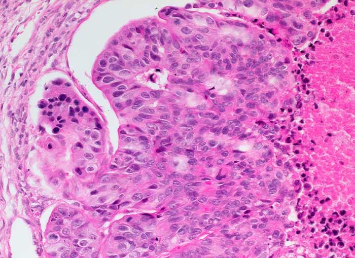
PathoPic ID 6396 - Kolonkarzinom: Metastase
de
Diagnose
Kolonkarzinom: Metastase
Diagnose Gruppe
maligner Tumor
Topographie
Portio
Topographie Gruppe
Genitalorgane, weiblich
Beschreibung
Infiltrate eines soliden Adenokarzinoms mit ausgedehnten komedoartigen Nekrosen gut passend zu Metastasen eines Kolonkarzinoms.
Klinik
Kolonkarzinom. Postmenopausale Blutung.
Bilder Typ
Histologie
Vergrösserung
200
Alter
73
Geschlecht
unbekannt
Datum
Ersteintrag: 11.02.2003
Update: 10.08.2010
CPS
·
©
2025 Institut für Pathologie Basel
/
Dr. med. Katharina Glatz-Krieger
.
·
v2.2